-
分类: 科研抗体货号: 32364别名: AVP; IFRC; IFNAR; IFNBR; IFN-alpha-REC应用: WB,IHC,FCM反应种属: Human, Mouse
-
分类: 科研抗体货号: 32373别名: ACAA; THIO; PTHIO应用: WB,IHC,FCM反应种属: Human, Mouse
-
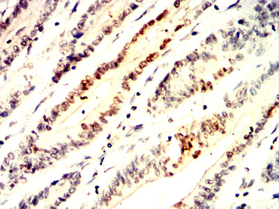
分类: 科研抗体货号: 32363别名: DJ1; DJ-1; GATD2; HEL-S-67p应用: WB,IHC,FCM反应种属: Human
-
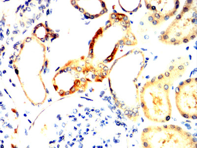
分类: 科研抗体货号: 32372别名: APS应用: IHC,FCM反应种属: Human
-
分类: 科研抗体货号: 32386别名: H2AX; H2A.X; H2A/X应用: WB,IHC,IF,FCM反应种属: Human
-
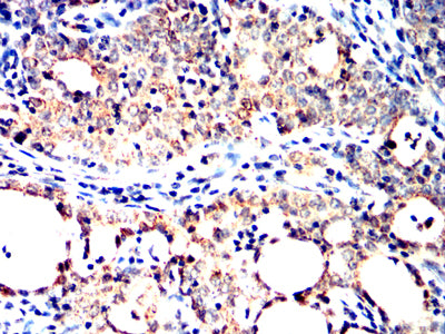
分类: 科研抗体货号: 32371别名: CYPD; CYP-40应用: IHC,FCM反应种属: Human
-
分类: 科研抗体货号: 32385别名: ADAM17;CSVP; TACE; NISBD; ADAM18;; NISBD1应用: WB,IF,FCM反应种属: Human, Mouse
-
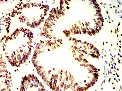
分类: 科研抗体货号: 32370别名: HPK1应用: WB,IHC,FCM反应种属: Human, Mouse, Monkey, Rat
-
分类: 科研抗体货号: 32384别名: SMPR; MPR46; CD-MPR; MPR 46; MPR-46; CD-M6PR应用: IHC,IF,FCM反应种属: Human
-
分类: 科研抗体货号: 32369别名: XP3; RAD4; XPCC; p125应用: WB,IHC,IF,FCM反应种属: Human
鄂公网安备42018502007531号

