Mouse Monoclonal Antibody to IFNAR1
货号:
32364
别名:
AVP; IFRC; IFNAR; IFNBR; IFN-alpha-REC
应用:
WB,IHC,FCM
反应种属:
Human, Mouse
抗体类型:
Primary antibody
Swissprot:
P17181
规格:
目录价
在线咨询
Description |
|---|
The protein encoded by this gene is a type I membrane protein that forms one of the two chains of a receptor for interferons alpha and beta. Binding and activation of the receptor stimulates Janus protein kinases, which in turn phosphorylate several proteins, including STAT1 and STAT2. The protein belongs to the type II cytokine receptor family and functions as an antiviral factor. |
References |
|---|
| 1.J Clin Invest. 2021 Jan 4;131(1):e139980. 2.Front Immunol. 2021 Mar 5;12:628364. |
Specification |
|
|---|---|
| Aliases | AVP; IFRC; IFNAR; IFNBR; IFN-alpha-REC |
| Entrez GeneID | 3454 |
| Swissprot | P17181 |
| clone | 2A5B12 |
| WB Predicted band size | 63.5kDa |
| Host/Isotype | Mouse IgG1 |
| Antibody Type | Primary antibody |
| Storage | Store at 4°C short term. Aliquot and store at -20°C long term. Avoid freeze/thaw cycles. |
| Species Reactivity | Human, Mouse |
| Immunogen | Purified recombinant fragment of human IFNAR1 (AA: 28-156) expressed in E. Coli. |
| Formulation | Purified antibody in PBS with 0.05% sodium azide |
Application |
|
|---|---|
| WB | 1/500 - 1/2000 |
| IHC | 1/200 - 1/1000 |
| FCM | 1/200 - 1/400 |
| ELISA | 1/10000 |
Product Image
-
Black line: Control Antigen (100 ng);Purple line: Antigen (10ng); Blue line: Antigen (50 ng); Red line:Antigen (100 ng)

-
Western blot analysis using IFNAR1 mouse mAb against mouse lung (1) lysate.

-
Flow cytometric analysis of K562 cells using IFNAR1 mouse mAb (green) and negative control (red).

-
Immunohistochemical analysis of paraffin-embedded human kidney cancer tissues using IFNAR1 mouse mAb with DAB staining.

-
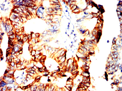
Immunohistochemical analysis of paraffin-embedded human rectum cancer tissues using IFNAR1 mouse mAb with DAB staining.






鄂公网安备42018502007531号

