Mouse Monoclonal Antibody to MAP4K1
货号:
32370
别名:
HPK1
应用:
WB,IHC,FCM
反应种属:
Human, Mouse, Monkey, Rat
抗体类型:
Primary antibody
Swissprot:
Q92918
规格:
目录价
在线咨询
Description |
|---|
MAP4K1 (Mitogen-Activated Protein Kinase Kinase Kinase Kinase 1) is a Protein Coding gene. Among its related pathways are Angiopoietin Like Protein 8 Regulatory Pathway and B cell receptor signaling pathway (KEGG). Gene Ontology (GO) annotations related to this gene include transferase activity, transferring phosphorus-containing groups and protein tyrosine kinase activity. An important paralog of this gene is MAP4K3. |
References |
|---|
| 1.Acta Crystallogr F Struct Biol Commun. 2021 Jan 1;77(Pt 1):22-28. 2.EBioMedicine. 2021 Jul;69:103441. |
Specification |
|
|---|---|
| Aliases | HPK1 |
| Entrez GeneID | 11184 |
| Swissprot | Q92918 |
| clone | 5A10F1 |
| WB Predicted band size | 91.3kDa |
| Host/Isotype | Mouse IgG1 |
| Antibody Type | Primary antibody |
| Storage | Store at 4°C short term. Aliquot and store at -20°C long term. Avoid freeze/thaw cycles. |
| Species Reactivity | Human, Mouse, Monkey, Rat |
| Immunogen | Purified recombinant fragment of human MAP4K1 (AA:278-477) expressed in mammalian. |
| Formulation | Purified antibody in PBS with 0.05% sodium azide |
Application |
|
|---|---|
| WB | 1/500 - 1/2000 |
| IHC | 1/200 - 1/1000 |
| FCM | 1/200 - 1/400 |
| ELISA | 1/10000 |
Product Image
-
Black line: Control Antigen (100 ng);Purple line: Antigen (10ng); Blue line: Antigen (50 ng); Red line:Antigen (100 ng)

-
Western blot analysis using MAP4K1 mouse mAb against Jurkat (1), A549 (2), mouse kidney (3),COS7 (4),C6 (5) and NIH/3T3 (6) cell lysate.

-
Flow cytometric analysis of Jurkat cells using MAP4K1 mouse mAb (green) and negative control (red).

-
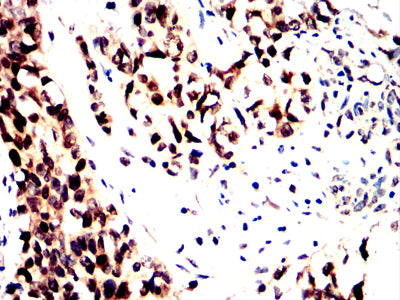
Immunohistochemical analysis of paraffin-embedded human colon cancer tissues using MAP4K1 mouse mAb with DAB staining.

-
Immunohistochemical analysis of paraffin-embedded human bladder cancer tissues using MAP4K1 mouse mAb with DAB staining.






鄂公网安备42018502007531号

