Mouse Monoclonal Antibody to M6PR
货号:
32384
别名:
SMPR; MPR46; CD-MPR; MPR 46; MPR-46; CD-M6PR
应用:
IHC,IF,FCM
反应种属:
Human
抗体类型:
Primary antibody
Swissprot:
P20645
规格:
目录价
在线咨询
Description |
|---|
This gene encodes a member of the P-type lectin family. P-type lectins play a critical role in lysosome function through the specific transport of mannose-6-phosphate-containing acid hydrolases from the Golgi complex to lysosomes. The encoded protein functions as a homodimer and requires divalent cations for ligand binding. Alternatively spliced transcript variants encoding multiple isoforms have been observed for this gene. A pseudogene of this gene is located on the long arm of chromosome X. |
References |
|---|
| 1.PLoS One. 2018 Aug 7;13(8):e0201844. 2.Cell Mol Immunol. 2018 Nov;15(11):986-988. |
Specification |
|
|---|---|
| Aliases | SMPR; MPR46; CD-MPR; MPR 46; MPR-46; CD-M6PR |
| Entrez GeneID | 4074 |
| Swissprot | P20645 |
| clone | 6G11E7 |
| WB Predicted band size | 31kDa |
| Host/Isotype | Mouse IgG1 |
| Antibody Type | Primary antibody |
| Storage | Store at 4°C short term. Aliquot and store at -20°C long term. Avoid freeze/thaw cycles. |
| Species Reactivity | Human |
| Immunogen | Purified recombinant fragment of human M6PR (AA: 27-277) expressed in E. Coli. |
| Formulation | Purified antibody in PBS with 0.05% sodium azide |
Application |
|
|---|---|
| IHC | 1/200 - 1/1000 |
| IF | 1/50 - 1/200 |
| FCM | 1/200 - 1/400 |
| ELISA | 1/10000 |
Product Image
-
Black line: Control Antigen (100 ng);Purple line: Antigen (10ng); Blue line: Antigen (50 ng); Red line:Antigen (100 ng)

-
Immunofluorescence analysis of Hela cells using M6PR mouse mAb (green). Blue: DRAQ5 fluorescent DNA dye. Red: Actin filaments have been labeled with Alexa Fluor- 555 phalloidin. Secondary antibody from Fisher (Cat#: 35503)

-
Flow cytometric analysis of Jurkat cells using M6PR mouse mAb (green) and negative control (red).

-
Immunohistochemical analysis of paraffin-embedded human kidney tissues using M6PR mouse mAb with DAB staining.

-
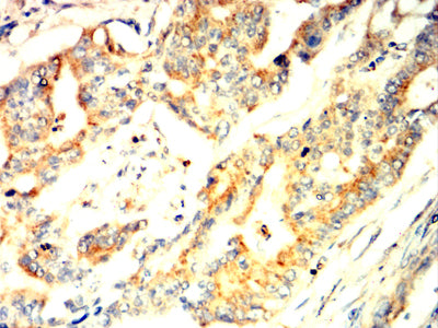
Immunohistochemical analysis of paraffin-embedded human rectum cancer tissues using M6PR mouse mAb with DAB staining.






鄂公网安备42018502007531号

