Mouse Monoclonal Antibody to SH2B2
货号:
32372
别名:
APS
应用:
IHC,FCM
反应种属:
Human
抗体类型:
Primary antibody
Swissprot:
O14492
规格:
目录价
在线咨询
Description |
|---|
The protein encoded by this gene is expressed in B lymphocytes and contains pleckstrin homology and src homology 2 (SH2) domains. In Burkitt's lymphoma cell lines, it is tyrosine-phosphorylated in response to B cell receptor stimulation. Because it binds Shc independent of stimulation and Grb2 after stimulation, it appears to play a role in signal transduction from the receptor to the Shc/Grb2 pathway. |
References |
|---|
| 1.Cancer Epidemiol Biomarkers Prev. 2002 Jul;11(7):664-9. 2.J Biol Chem. 2005 May 13;280(19):18943-9. |
Specification |
|
|---|---|
| Aliases | APS |
| Entrez GeneID | 10603 |
| Swissprot | O14492 |
| clone | 5E11G7 |
| WB Predicted band size | 67.7kDa |
| Host/Isotype | Mouse IgG2b |
| Antibody Type | Primary antibody |
| Storage | Store at 4°C short term. Aliquot and store at -20°C long term. Avoid freeze/thaw cycles. |
| Species Reactivity | Human |
| Immunogen | Purified recombinant fragment of human SH2B2 (AA: 497-676) expressed in E. Coli. |
| Formulation | Purified antibody in PBS with 0.05% sodium azide |
Application |
|
|---|---|
| IHC | 1/200 - 1/1000 |
| FCM | 1/200 - 1/400 |
| ELISA | 1/10000 |
Product Image
-
Black line: Control Antigen (100 ng);Purple line: Antigen (10ng); Blue line: Antigen (50 ng); Red line:Antigen (100 ng)

-
Flow cytometric analysis of HEK293 cells using SH2B2 mouse mAb (green) and negative control (red).

-
Flow cytometric analysis of HepG2 cells using SH2B2 mouse mAb (green) and negative control (red).

-
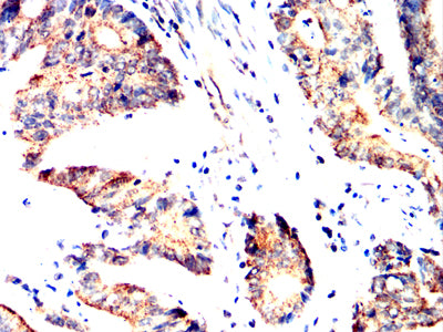
Immunohistochemical analysis of paraffin-embedded human cervical cancer tissues using SH2B2 mouse mAb with DAB staining.

-
Immunohistochemical analysis of paraffin-embedded human colon cancer tissues using SH2B2 mouse mAb with DAB staining.






鄂公网安备42018502007531号

