Mouse Monoclonal Antibody to ACAA1
货号:
32373
别名:
ACAA; THIO; PTHIO
应用:
WB,IHC,FCM
反应种属:
Human, Mouse
抗体类型:
Primary antibody
Swissprot:
P09110
规格:
目录价
在线咨询
Description |
|---|
This gene encodes an enzyme operative in the beta-oxidation system of the peroxisomes. Deficiency of this enzyme leads to pseudo-Zellweger syndrome. Alternative splicing results in multiple transcript variants. |
References |
|---|
| 1.BMC Med Genet. 2011 Dec 8;12:158. 2.J Biol Chem. 2001 Aug 24;276(34):31521-7. |
Specification |
|
|---|---|
| Aliases | ACAA; THIO; PTHIO |
| Entrez GeneID | 30 |
| Swissprot | P09110 |
| clone | 8E7D11 |
| WB Predicted band size | 44.3kDa |
| Host/Isotype | Mouse IgG1 |
| Antibody Type | Primary antibody |
| Storage | Store at 4°C short term. Aliquot and store at -20°C long term. Avoid freeze/thaw cycles. |
| Species Reactivity | Human, Mouse |
| Immunogen | Purified recombinant fragment of human ACAA1(AA: 217-315) expressed in E. Coli. |
| Formulation | Purified antibody in PBS with 0.05% sodium azide |
Application |
|
|---|---|
| WB | 1/500 - 1/2000 |
| IHC | 1/200 - 1/1000 |
| FCM | 1/200 - 1/400 |
| ELISA | 1/10000 |
Product Image
-
Black line: Control Antigen (100 ng);Purple line: Antigen (10ng); Blue line: Antigen (50 ng); Red line:Antigen (100 ng)

-
Western blot analysis using ACAA1 mouse mAb against mouse liver (1)and mouse kidney (2) lysate.

-
Flow cytometric analysis of HL-60 cells using ACAA1 mouse mAb (green) and negative control (red).

-
Immunohistochemical analysis of paraffin-embedded human ovarian cancer tissues using ACAA1 mouse mAb with DAB staining.

-
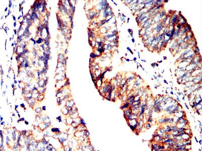
Immunohistochemical analysis of paraffin-embedded human rectum cancer tissues using ACAA1 mouse mAb with DAB staining.






鄂公网安备42018502007531号

