Mouse Monoclonal Antibody to XPC
货号:
32369
别名:
XP3; RAD4; XPCC; p125
应用:
WB,IHC,IF,FCM
反应种属:
Human
抗体类型:
Primary antibody
Swissprot:
Q01831
规格:
目录价
在线咨询
Description |
|---|
The protein encoded by this gene is a key component of the XPC complex, which plays an important role in the early steps of global genome nucleotide excision repair (NER). The encoded protein is important for damage sensing and DNA binding, and shows a preference for single-stranded DNA. Mutations in this gene or some other NER components can result in Xeroderma pigmentosum, a rare autosomal recessive disorder characterized by increased sensitivity to sunlight with the development of carcinomas at an early age. Alternatively spliced transcript variants have been found for this gene. |
References |
|---|
| 1,Acta Medica (Hradec Kralove). 2020;63(3):101-112. 2,Nat Commun. 2020 Nov 17;11(1):5834. |
Specification |
|
|---|---|
| Aliases | XP3; RAD4; XPCC; p125 |
| Entrez GeneID | 7508 |
| Swissprot | Q01831 |
| clone | 5F4D3 |
| WB Predicted band size | 106kDa |
| Host/Isotype | Mouse IgG1 |
| Antibody Type | Primary antibody |
| Storage | Store at 4°C short term. Aliquot and store at -20°C long term. Avoid freeze/thaw cycles. |
| Species Reactivity | Human |
| Immunogen | Purified recombinant fragment of human XPC (AA: 32-133) expressed in mammalian. |
| Formulation | Purified antibody in PBS with 0.05% sodium azide |
Application |
|
|---|---|
| WB | 1/500 - 1/2000 |
| IHC | 1/200 - 1/1000 |
| IF | 1/50 - 1/200 |
| FCM | 1/200 - 1/400 |
| ELISA | 1/10000 |
Product Image
-
Black line: Control Antigen (100 ng);Purple line: Antigen (10ng); Blue line: Antigen (50 ng); Red line:Antigen (100 ng)

-
Western blot analysis using XPC mouse mAb against Jurkat (1) and Hela (2) cell lysate.

-
Immunofluorescence analysis of Hela cells using XPC mouse mAb (green). Blue: DRAQ5 fluorescent DNA dye. Red: Actin filaments have been labeled with Alexa Fluor- 555 phalloidin. Secondary antibody from Fisher (Cat#: 35503)

-
Flow cytometric analysis of Hela cells using XPC mouse mAb (green) and negative control (red).

-
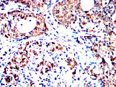
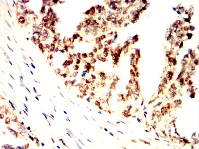
Immunohistochemical analysis of paraffin-embedded human cervical cancer tissues using XPC mouse mAb with DAB staining.

-
Immunohistochemical analysis of paraffin-embedded human ovarian cancer tissues using XPC mouse mAb with DAB staining.







鄂公网安备42018502007531号

