-
分类: 科研抗体货号: P17245别名: JNK 46; JNK 55; MAPK10; MAPK9; MAPK8; SAPK1b ; SAPK1; SAPK; PRKM10; PRKM9; PRKM8;;p-JNK1/2/3 (T183/T183/T221)应用: WB,IHC/IHF,IF,IP,FCM反应种属: Human,Mouse,Rat
-
分类: 科研抗体货号: P17227别名: GRB1, P85A, PI3-kinase p85-alpha subunit, PI3K, PI3K p85-alpha; P55G, PI3-kinase p85-gamma subunit, PI3K p85-gamma,;PI3 kinase p55 gamma应用: WB,IHC/IHF,IF,反应种属: Human,Mouse,Rat
-
分类: 科研抗体货号: P17244别名: ARNT;HIF-1beta;HIF1B;HIF1BETA;TANGO;bHLHe2;;HIF 1 beta应用: WB;IHC反应种属: Human
-
分类: 科研抗体货号: P17226别名: DCML;GATA binding protein 2;GATA binding protein 3;HDR;HDRS;IMD21;MONOMAC;NFE1B;GATA2/3应用: WB,IHC/IHF,IF,IP反应种属: Human,Mouse,Rat
-
分类: 科研抗体货号: P17242别名: CSDD2; FLJ16517; LIN28B; Protein lin-28 homolog B;;Lin 28B应用: WB,IF,IP,FCM反应种属: Human
-
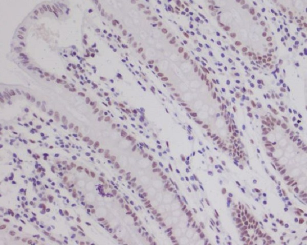
分类: 科研抗体货号: P17225别名: Histone H1b; Histone H1s-4;;p-Histone H1.4 (T17)应用: WB,IHC/IHF,IF,反应种属: Human,Mouse,Rat
-
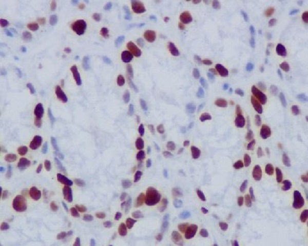
分类: 科研抗体货号: P17241别名: DGCR8; DGCRK6; Gy1 ; C22orf12; D16Wis2; pasha;;DGCR8应用: WB,IF,IP反应种属: Human,Mouse,Rat
-
分类: 科研抗体货号: P17223别名: ARH12, ARH6; ARH9; ARHA; ARHA2; H12; RHO12; Transforming protein RhoA; RHOA; RHOB; RHOC;;RhoA/B/C应用: WB,IHC/IHF,IF,FCM反应种属: Human,Mouse,Rat
-
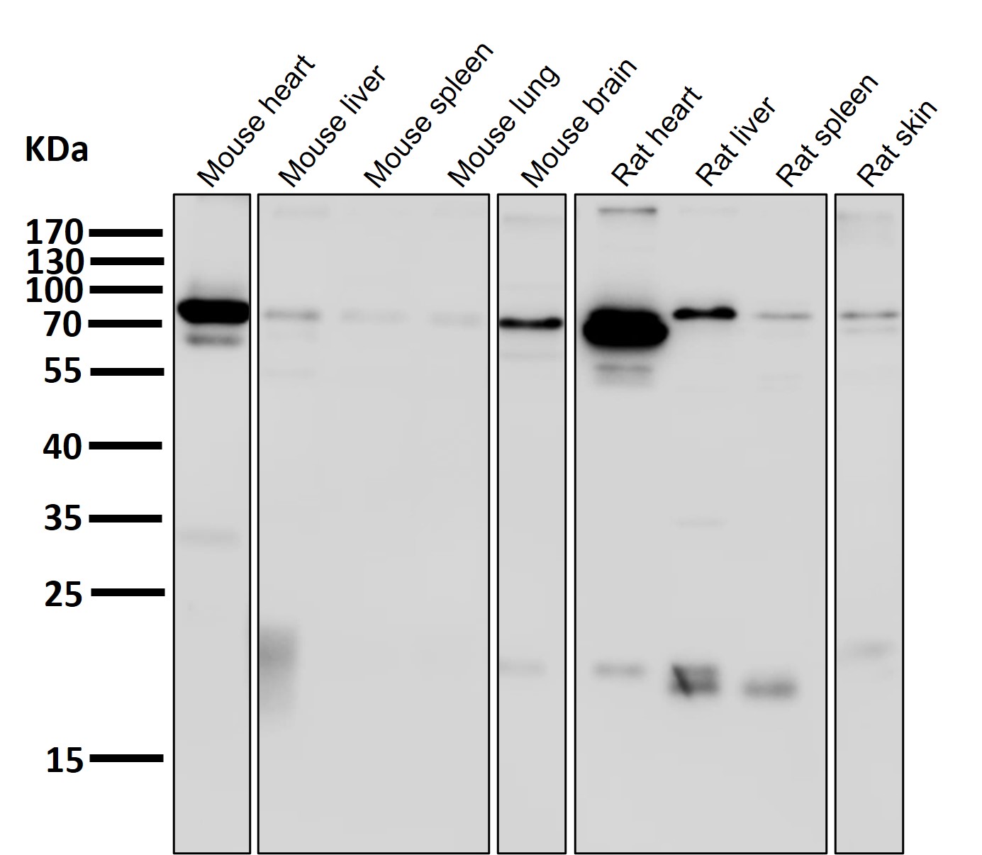
分类: 科研抗体货号: P17240别名: p85; p85 beta; P85B; Phosphatidylinositol 3 kinase; PI3 kinase p85 beta subunit; PI3K; PIK3R 2;;PI3 kinase p85 beta应用: WB,IHC/IHF,IF,IP,FCM反应种属: Human,Rat
-
分类: 科研抗体货号: P17222别名: HSPA1; HSP70-1; HSP70-2; HSPA1A; HS71A; HS71B; HSPA1A ; HSPA1B;;Hsp70应用: WB,IHC/IHF,IF,FCM反应种属: Human,Mouse,Rat
鄂公网安备42018502007531号

