Rabbit Monoclonal to Phospho-JNK1/2/3(T183+T183+T221)
货号:
P17245
别名:
JNK 46; JNK 55; MAPK10; MAPK9; MAPK8; SAPK1b ; SAPK1; SAPK; PRKM10; PRKM9; PRKM8;;p-JNK1/2/3 (T183/T183/T221)
应用:
WB,IHC/IHF,IF,IP,FCM
反应种属:
Human,Mouse,Rat
抗体类型:
Primary antibody
Swissprot:
P45983/P45984/P53779
规格:
目录价
在线咨询
Description |
|---|
Serine/threonine-protein kinase involved in various processes such as cell proliferation, differentiation, migration, transformation and programmed cell death. Extracellular stimuli such as proinflammatory cytokines or physical stress stimulate the stress-activated protein kinase/c-Jun N-terminal kinase (SAP/JNK) signaling pathway. |
Specification |
|
|---|---|
| Aliases | JNK 46; JNK 55; MAPK10; MAPK9; MAPK8; SAPK1b ; SAPK1; SAPK; PRKM10; PRKM9; PRKM8;;p-JNK1/2/3 (T183/T183/T221) |
| Swissprot | P45983/P45984/P53779 |
| WB Predicted band size | Calculated MW: 48,53 kDa ; Observed MW: 46,54 kDa |
| Host/Isotype | Rabbit IgG |
| Antibody Type | Primary antibody |
| Storage | Store at 4°C short term. Aliquot and store at -20°C long term. Avoid freeze/thaw cycles. |
| Species Reactivity | Human,Mouse,Rat |
| Immunogen | A synthesized peptide derived from human JNK1 around the phosphorylation site of T183 |
| Formulation | Purified antibody in PBS with 0.05% sodium azide,0.05% BSA and 50% glycerol. |
Application |
|
|---|---|
| WB | 1/1000-1/2000 |
| IP | 1/20-1/50 |
| IHC | IHC:1/100-1/200;IHF:1/50-1/200 |
| IF | 1/50-1/200 |
| FCM | 1/20-1/100 |
Product Image
-
All lanes use the Antibody at 1:1K dilution for 1 hour at room temperature.

-
All lanes use the Antibody at 1:1K dilution for 1 hour at room temperature.

-
Western blot analysis of JNK1/2/3 phosphorylation expression in NIH/3T3 cell lysate treated with Anisomycin.

-
Immunofluorescent analysis using the Antibody at 1:50 dilution.

-
Immunofluorescent analysis of NIH/3T3 cells treated with Anisomycin, using Phospho-JNK1/2/3 (T183+T183+T221) Antibody.

-
Immunofluorescent analysis using the Antibody at 1:50 dilution.

-
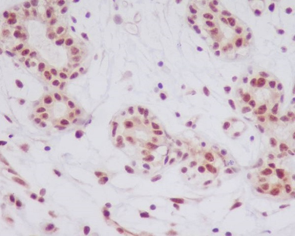
Immunohistochemical analysis of paraffin-embedded human breast, using Phospho-JNK1/2/3 (T183+T183+T221) Antibody.








鄂公网安备42018502007531号

