Rabbit Monoclonal to GATA2/3
货号:
P17226
别名:
DCML;GATA binding protein 2;GATA binding protein 3;HDR;HDRS;IMD21;MONOMAC;NFE1B;GATA2/3
应用:
WB,IHC/IHF,IF,IP
反应种属:
Human,Mouse,Rat
抗体类型:
Primary antibody
Swissprot:
P23769/P23771
规格:
目录价
在线咨询
Description |
|---|
Transcriptional activator which regulates endothelin-1 gene expression in endothelial cells. Binds to the consensus sequence 5'-AGATAG-3'. |
Specification |
|
|---|---|
| Aliases | DCML;GATA binding protein 2;GATA binding protein 3;HDR;HDRS;IMD21;MONOMAC;NFE1B;GATA2/3 |
| Swissprot | P23769/P23771 |
| WB Predicted band size | Calculated MW: 51,48 kDa ; Observed MW: 51 kDa |
| Host/Isotype | Rabbit IgG |
| Antibody Type | Primary antibody |
| Storage | Store at 4°C short term. Aliquot and store at -20°C long term. Avoid freeze/thaw cycles. |
| Species Reactivity | Human,Mouse,Rat |
| Immunogen | A synthesized peptide derived from human GATA2 |
| Formulation | Purified antibody in PBS with 0.05% sodium azide,0.05% BSA and 50% glycerol. |
Application |
|
|---|---|
| WB | 1/1000-1/2000 |
| IP | 1/20-1/50 |
| IHC | IHC:1/100-1/200;IHF:1/50-1/200 |
| IF | 1/50-1/200 |
Product Image
-
All lanes use the Antibody at 1:2K dilution for 1 hour at room temperature.

-
All lanes use the Antibody at 1:2K dilution for 1 hour at room temperature.

-
All lanes use the Antibody at 1:2K dilution for 1 hour at room temperature.

-
Immunofluorescent analysis of K562 cells, using GATA2/3 Antibody .

-
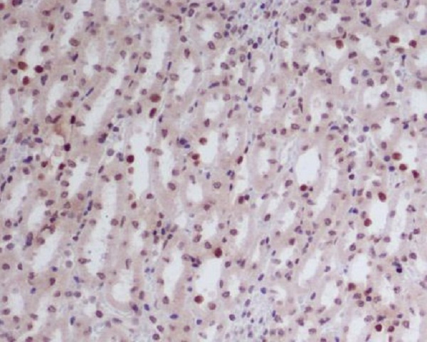
Immunohistochemical analysis of paraffin-embedded mouse kidney, using GATA2/3 Antibody.






鄂公网安备42018502007531号

