Rabbit Monoclonal to PI3 Kinase p55 gamma
货号:
P17227
别名:
GRB1, P85A, PI3-kinase p85-alpha subunit, PI3K, PI3K p85-alpha; P55G, PI3-kinase p85-gamma subunit, PI3K p85-gamma,;PI3 kinase p55 gamma
应用:
WB,IHC/IHF,IF,
反应种属:
Human,Mouse,Rat
抗体类型:
Primary antibody
Swissprot:
Q92569
规格:
目录价
在线咨询
Description |
|---|
Binds to activated (phosphorylated) protein-tyrosine kinases through its SH2 domain and regulates their kinase activity. During insulin stimulation, it also binds to IRS-1. |
Specification |
|
|---|---|
| Aliases | GRB1, P85A, PI3-kinase p85-alpha subunit, PI3K, PI3K p85-alpha; P55G, PI3-kinase p85-gamma subunit, PI3K p85-gamma,;PI3 kinase p55 gamma |
| Swissprot | Q92569 |
| WB Predicted band size | 54 kDa |
| Host/Isotype | Rabbit IgG |
| Antibody Type | Primary antibody |
| Storage | Store at 4°C short term. Aliquot and store at -20°C long term. Avoid freeze/thaw cycles. |
| Species Reactivity | Human,Mouse,Rat |
| Immunogen | A synthesized peptide derived from human PI3 kinase p55 gamma |
| Formulation | Purified antibody in PBS with 0.05% sodium azide,0.05% BSA and 50% glycerol. |
Application |
|
|---|---|
| WB | 1/1000-1/2000 |
| IHC | IHC:1/100-1/200;IHF:1/50-1/200 |
| IF | 1/50-1/200 |
Product Image
-
All lanes use the Antibody at 1:2K dilution for 1 hour at room temperature.

-
All lanes use the Antibody at 1:2K dilution for 1 hour at room temperature.

-
All lanes use the Antibody at 1:2K dilution for 1 hour at room temperature.

-
Immunofluorescent analysis of C6 cells, using PI 3 Kinase p55 gamma Antibody .

-
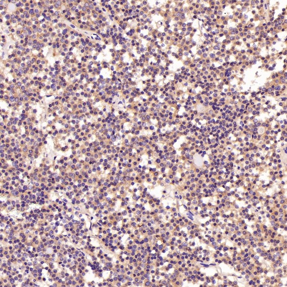
Immunohistochemical analysis of paraffin-embedded Human pituitary tumor, using the Antibody at 1:200 dilution.

-
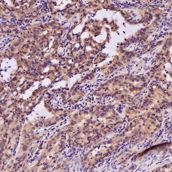
Immunohistochemical analysis of paraffin-embedded Human lung adenocarcinoma, using the Antibody at 1:200 dilution.

-
Immunohistochemical analysis of paraffin-embedded Human pituitary tumor, using the Antibody at 1:200 dilution.

-
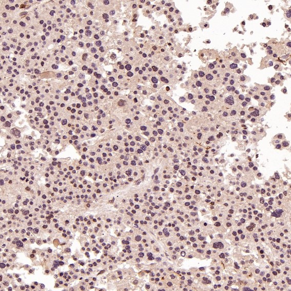
Immunohistochemical analysis of paraffin-embedded Human liver cancer, using the Antibody at 1:100 dilution.

-
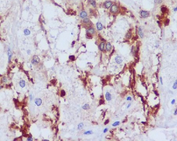
Immunohistochemical analysis of paraffin-embedded human astrocytoma, using PI 3 Kinase p55 gamma Antibody.










鄂公网安备42018502007531号

