Rabbit Monoclonal to RhoA+B+C
货号:
P17223
别名:
ARH12, ARH6; ARH9; ARHA; ARHA2; H12; RHO12; Transforming protein RhoA; RHOA; RHOB; RHOC;;RhoA/B/C
应用:
WB,IHC/IHF,IF,FCM
反应种属:
Human,Mouse,Rat
抗体类型:
Primary antibody
Swissprot:
P61586/P62745/P08134
规格:
目录价
在线咨询
Description |
|---|
RhoA , RhoB , RhoC is a small G protein of the Rho family. Regulates a signal transduction pathway linking plasma membrane receptors to the assembly of focal adhesions and actin stress fibers. The three mammalian Rho proteins (A, B and C) are approximately 30% homologous to Ras and are expressed in a wide range of cell types. Both Ras p21 and Rho p21, as well as other members of the Ras superfamily, contain a carboxy terminal CAAX sequence (C, cysteine; A, aliphatic amino acid; X, any amino acid) which in the case of Ras has been shown to be essential for correct localization and function. |
Specification |
|
|---|---|
| Aliases | ARH12, ARH6; ARH9; ARHA; ARHA2; H12; RHO12; Transforming protein RhoA; RHOA; RHOB; RHOC;;RhoA/B/C |
| Swissprot | P61586/P62745/P08134 |
| WB Predicted band size | 22 kDa |
| Host/Isotype | Rabbit IgG |
| Antibody Type | Primary antibody |
| Storage | Store at 4°C short term. Aliquot and store at -20°C long term. Avoid freeze/thaw cycles. |
| Species Reactivity | Human,Mouse,Rat |
| Immunogen | A synthesized peptide derived from human RhoA |
| Formulation | Purified antibody in PBS with 0.05% sodium azide,0.05% BSA and 50% glycerol. |
Application |
|
|---|---|
| WB | 1/1000-1/2000 |
| IHC | IHC:1/100-1/200;IHF:1/50-1/200 |
| IF | 1/50-1/200 |
| FCM | 1/20-1/100 |
Product Image
-
All lanes use the Antibody at 1:1K dilution for 1 hour at room temperature.

-
All lanes use the Antibody at 1:1K dilution for 1 hour at room temperature.

-
Western blot analysis of Rho A + B + C expression in (1) Jurkat cell lysate; (2) NIH/3T3 cell lysate.

-
Immunofluorescent analysis of Hela cells, using Rho A + B + C Antibody .

-
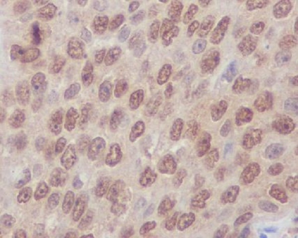
Immunohistochemical analysis of paraffin-embedded human lung carcinoma, using Rho A + B + C Antibody .






鄂公网安备42018502007531号

