Rabbit Monoclonal to Hsp70
货号:
P17222
别名:
HSPA1; HSP70-1; HSP70-2; HSPA1A; HS71A; HS71B; HSPA1A ; HSPA1B;;Hsp70
应用:
WB,IHC/IHF,IF,FCM
反应种属:
Human,Mouse,Rat
抗体类型:
Primary antibody
Swissprot:
P0DMV8
规格:
目录价
在线咨询
Description |
|---|
Molecular chaperone implicated in a wide variety of cellular processes, including protection of the proteome from stress, folding and transport of newly synthesized polypeptides, activation of proteolysis of misfolded proteins and the formation and dissociation of protein complexes. |
Specification |
|
|---|---|
| Aliases | HSPA1; HSP70-1; HSP70-2; HSPA1A; HS71A; HS71B; HSPA1A ; HSPA1B;;Hsp70 |
| Swissprot | P0DMV8 |
| WB Predicted band size | 70 kDa |
| Host/Isotype | Rabbit IgG |
| Antibody Type | Primary antibody |
| Storage | Store at 4°C short term. Aliquot and store at -20°C long term. Avoid freeze/thaw cycles. |
| Species Reactivity | Human,Mouse,Rat |
| Immunogen | A synthesized peptide derived from human Hsp70 |
| Formulation | Purified antibody in PBS with 0.05% sodium azide,0.05% BSA and 50% glycerol. |
Application |
|
|---|---|
| WB | 1/1000-1/2000 |
| IHC | IHC:1/100-1/200;IHF:1/50-1/200 |
| IF | 1/50-1/200 |
| FCM | 1/20-1/100 |
Product Image
-
All lanes use the Antibody at 1:2K dilution for 1 hour at room temperature.

-
All lanes use the Antibody at 1:2K dilution for 1 hour at room temperature.

-
All lanes use the Antibody at 1:2K dilution for 1 hour at room temperature.

-
Immunofluorescent analysis of Hela cells, using Hsp70 Antibody .

-
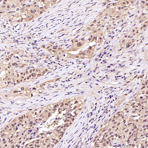
Immunohistochemical analysis of paraffin-embedded Human squamous carcinoma, using the Antibody at 1:200 dilution.

-
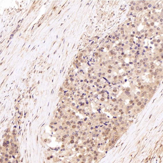
Immunohistochemical analysis of paraffin-embedded Human testis cancer, using the Antibody at 1:200 dilution.

-
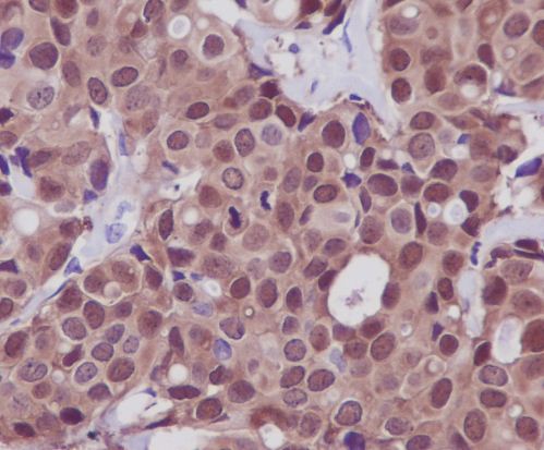
Immunohistochemical analysis of paraffin-embedded Human prostate cancer, using the Antibody at 1:200 dilution.

-
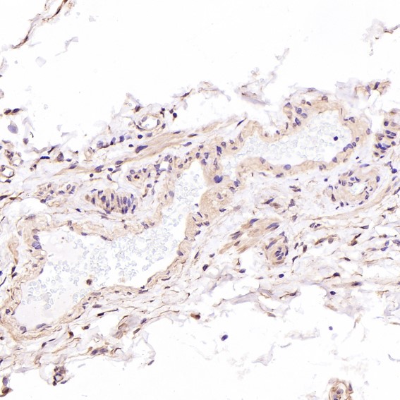
Immunohistochemical analysis of paraffin-embedded human breast, using Hsp70 Antibody .









鄂公网安备42018502007531号

