-
分类: 科研抗体货号: 30264别名: PHB1应用: WB,IHC,IF,FCM反应种属: Human,Mouse,Rat,Monkey
-
分类: 科研抗体货号: 30263别名: AIB; AIB1; ANIB1应用: WB反应种属: Human
-
分类: 科研抗体货号: 30280别名: DLK; FA1; ZOG; pG2; PREF1; Pref-1应用: IF,FCM反应种属: Human
-
分类: 科研抗体货号: 30261别名: ERK1; PRKM3; P44ERK1; P44MAPK; HS44KDAP; HUMKER1A; MGC20180应用: WB,IHC,IF,FCM反应种属: Human,Mouse,Rat,Monkey
-
分类: 科研抗体货号: 30292别名: DTD; QR1; DHQU; DIA4; NMOR1; NMORI应用: WB,IHC,FCM反应种属: Human
-
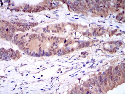
分类: 科研抗体货号: 30279别名: CAP4; MACH; MCH5; FLICE; ALPS2B; Casp-8; FLJ17672; MGC78473应用: WB,IHC,FCM反应种属: Human,Mouse,Monkey,Rat
-
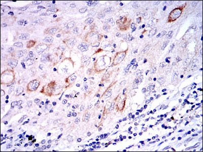
分类: 科研抗体货号: 30288别名: MGC99675应用: IHC,IF,FCM反应种属: Human
-
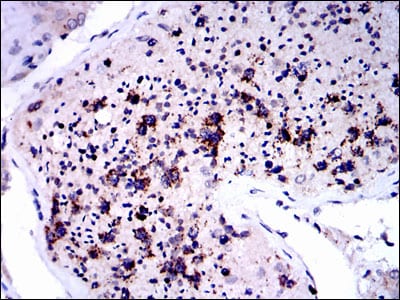
分类: 科研抗体货号: 30291别名: MKK7; Jnkk2; MAPKK7; PRKMK7应用: IHC,IF,FCM反应种属: Human
-
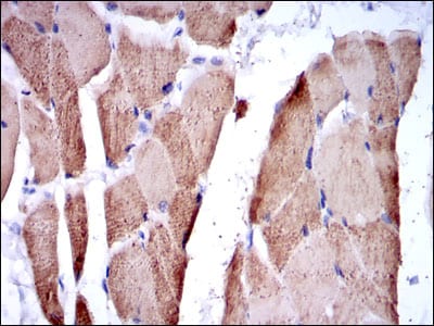
分类: 科研抗体货号: 30278别名: DA2B; FSSV; fsTnI; AMCD2B应用: IHC,FCM反应种属: Human
-
分类: 科研抗体货号: 30287别名: G6PD1应用: WB,IHC,FCM反应种属: Human
鄂公网安备42018502007531号

