Mouse Monoclonal Antibody to MAP2K7
货号:
30291
别名:
MKK7; Jnkk2; MAPKK7; PRKMK7
应用:
IHC,IF,FCM
反应种属:
Human
抗体类型:
Primary antibody
Swissprot:
O14733
规格:
目录价
在线咨询
Description |
|---|
The protein encoded by this gene is a dual specificity protein kinase that belongs to the MAP kinase kinase family. This kinase specifically activates MAPK8/JNK1 and MAPK9/JNK2, and this kinase itself is phosphorylated and activated by MAP kinase kinase kinases including MAP3K1/MEKK1, MAP3K2/MEKK2,MAP3K3/MEKK5, and MAP4K2/GCK. This kinase is involved in the signal transduction mediating the cell responses to proinflammatory cytokines, and environmental stresses. Multiple alternatively spliced transcript variants encoding distinct isoforms have been found, but only one transcript variant has been supported and defined. |
References |
|---|
| 1. Biochem J. 2010 Mar 29;427(2):237-45. 2. J Immunol. 2008 Sep 1;181(5):3252-8. |
Specification |
|
|---|---|
| Aliases | MKK7; Jnkk2; MAPKK7; PRKMK7 |
| Entrez GeneID | 5609 |
| Swissprot | O14733 |
| clone | 4E5 |
| WB Predicted band size | 48kDa |
| Host/Isotype | Mouse IgG1 |
| Antibody Type | Primary antibody |
| Storage | Store at 4°C short term. Aliquot and store at -20°C long term. Avoid freeze/thaw cycles. |
| Species Reactivity | Human |
| Immunogen | Purified recombinant fragment of human MAP2K7 expressed in E. Coli. |
| Formulation | Ascitic fluid containing 0.03% sodium azide. |
Application |
|
|---|---|
| IHC | 1/200 - 1/1000 |
| IF | 1/200 - 1/1000 |
| FCM | 1/200 - 1/400 |
| ELISA | 1/10000 |
Product Image
-
Black line: Control Antigen (100 ng); Purple line: Antigen(10ng); Blue line: Antigen (50 ng); Red line: Antigen (100 ng);

-
Immunofluorescence analysis of Hela cells using MAP2K7 mouse mAb (green). Red: Actin filaments have been labeled with Alexa Fluor-555 phalloidin.

-
Flow cytometric analysis of Hela cells using MAP2K7 mouse mAb (green) and negative control (red).

-
Immunohistochemical analysis of paraffin-embedded human lung cancer tissues using MAP2K7 mouse mAb with DAB staining.

-
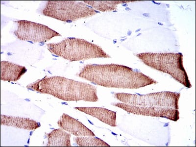
Immunohistochemical analysis of paraffin-embedded human muscle tissues using MAP2K7 mouse mAb with DAB staining.






鄂公网安备42018502007531号

