Mouse Monoclonal Antibody to MAPK3
货号:
30261
别名:
ERK1; PRKM3; P44ERK1; P44MAPK; HS44KDAP; HUMKER1A; MGC20180
应用:
WB,IHC,IF,FCM
反应种属:
Human,Mouse,Rat,Monkey
抗体类型:
Primary antibody
Swissprot:
P27361
规格:
目录价
在线咨询
Description |
|---|
The protein encoded by this gene is a member of the MAP kinase family. MAP kinases, also known as extracellular signal-regulated kinases (ERKs), act in a signaling cascade that regulates various cellular processes such as proliferation, differentiation, and cell cycle progression in response to a variety of extracellular signals. This kinase is activated by upstream kinases, resulting in its translocation to the nucleus where it phosphorylates nuclear targets. Alternatively spliced transcript variants encoding different protein isoforms have been described. |
References |
|---|
| 1. Mol Cell. 2009 Nov 13;36(3):477-86. 2. PLoS One. 2009 Oct 22;4(10):e7541. |
Specification |
|
|---|---|
| Aliases | ERK1; PRKM3; P44ERK1; P44MAPK; HS44KDAP; HUMKER1A; MGC20180 |
| Entrez GeneID | 5595 |
| Swissprot | P27361 |
| clone | 1E5 |
| WB Predicted band size | 44kDa |
| Host/Isotype | Mouse IgG1 |
| Antibody Type | Primary antibody |
| Storage | Store at 4°C short term. Aliquot and store at -20°C long term. Avoid freeze/thaw cycles. |
| Species Reactivity | Human,Mouse,Rat,Monkey |
| Immunogen | Purified recombinant fragment of human MAPK3 expressed in E. Coli. |
| Formulation | Purified antibody in PBS with 0.05% sodium azide. |
Application |
|
|---|---|
| WB | 1/500 - 1/2000 |
| IHC | 1/200 - 1/1000 |
| IF | 1/200 - 1/1000 |
| FCM | 1/200 - 1/400 |
| ELISA | 1/10000 |
Product Image
-
Red: Control Antigen (100ng); Purple: Antigen (10ng); Green: Antigen (50ng); Blue: Antigen (100ng);

-
Western blot analysis using MAPK3 mouse mAb against Hela (1), Jurkat (2), RAW264.7 (3), HEK293 (4), K562 (5), NIH/3T3 (6), Cos7 (7) and PC-12 (8) cell lysate.

-
Immunofluorescence analysis of NIH/3T3 cells using MAPK3 mouse mAb (green). Blue: DRAQ5 fluorescent DNA dye. Red: Actin filaments have been labeled with Alexa Fluor-555 phalloidin.

-
Flow cytometric analysis of Hela cells using MAPK3 mouse mAb (blue) and negative control (red).

-
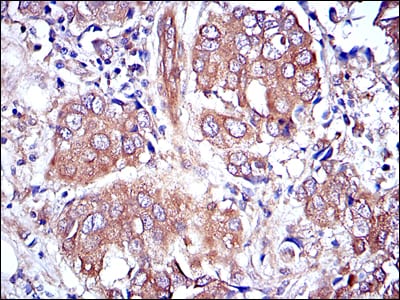
Immunohistochemical analysis of paraffin-embedded human breast cancer tissues using MAPK3 mouse mAb with DAB staining.

-
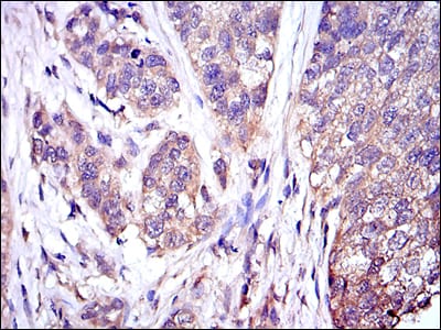
Immunohistochemical analysis of paraffin-embedded human bladder cancer tissues using MAPK3 mouse mAb with DAB staining.







鄂公网安备42018502007531号

