Mouse Monoclonal Antibody to MBP
货号:
30288
别名:
MGC99675
应用:
IHC,IF,FCM
反应种属:
Human
抗体类型:
Primary antibody
Swissprot:
P02686
规格:
目录价
在线咨询
Description |
|---|
The protein encoded by the classic MBP gene is a major constituent of the myelin sheath of oligodendrocytes and Schwann cells in the nervous system. However, MBP-related transcripts are also present in the bone marrow and the immune system. These mRNAs arise from the long MBP gene (otherwise called "Golli-MBP") that contains 3 additional exons located upstream of the classic MBP exons. Alternative splicing from the Golli and the MBP transcription start sites gives rise to 2 sets of MBP-related transcripts and gene products. The Golli mRNAs contain 3 exons unique to Golli-MBP, spliced in-frame to 1 or more MBP exons. They encode hybrid proteins that have N-terminal Golli aa sequence linked to MBP aa sequence. The second family of transcripts contain only MBP exons and produce the well characterized myelin basic proteins. This complex gene structure is conserved among species suggesting that the MBP transcription unit is an integral part of the Golli transcription unit and that this arrangement is important for the function and/or regulation of these genes. |
References |
|---|
| 1. Cancer Epidemiol Biomarkers Prev. 2009 May;18(5):1651-8. 2. Biochemistry. 2009 Jun 9;48(22):4720-7. |
Specification |
|
|---|---|
| Aliases | MGC99675 |
| Entrez GeneID | 4155 |
| Swissprot | P02686 |
| clone | 2H9 |
| WB Predicted band size | 33kDa |
| Host/Isotype | Mouse IgG1 |
| Antibody Type | Primary antibody |
| Storage | Store at 4°C short term. Aliquot and store at -20°C long term. Avoid freeze/thaw cycles. |
| Species Reactivity | Human |
| Immunogen | Purified recombinant fragment of human MBP expressed in E. Coli. |
| Formulation | Purified antibody in PBS with 0.05% sodium azide. |
Application |
|
|---|---|
| IHC | 1/200 - 1/1000 |
| IF | 1/200 - 1/1000 |
| FCM | 1/200 - 1/400 |
| ELISA | 1/10000 |
Product Image
-
Black line: Control Antigen (100 ng); Purple line: Antigen(10ng); Blue line: Antigen (50 ng); Red line: Antigen (100 ng);

-
Immunofluorescence analysis of MSCS cells using MBP mouse mAb (green). Blue: DRAQ5 fluorescent DNA dye. Red: Actin filaments have been labeled with Alexa Fluor-555 phalloidin.

-
Flow cytometric analysis of HepG2 cells using MBP mouse mAb (green) and negative control (red).

-
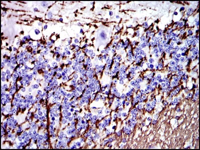
Immunohistochemical analysis of paraffin-embedded human brain tissues using MBP mouse mAb with DAB staining.

-
Immunohistochemical analysis of paraffin-embedded human cerebellum tissues using MBP mouse mAb with DAB staining.






鄂公网安备42018502007531号

