Mouse Monoclonal Antibody to NQO1
货号:
30292
别名:
DTD; QR1; DHQU; DIA4; NMOR1; NMORI
应用:
WB,IHC,FCM
反应种属:
Human
抗体类型:
Primary antibody
Swissprot:
P15559
规格:
目录价
在线咨询
Description |
|---|
This gene is a member of the NAD(P)H dehydrogenase (quinone) family and encodes a cytoplasmic 2-electron reductase. This FAD-binding protein forms homodimers and reduces quinones to hydroquinones. This protein's enzymatic activity prevents the one electron reduction of quinones that results in the production of radical species. Mutations in this gene have been associated with tardive dyskinesia (TD), an increased risk of hematotoxicity after exposure to benzene, and susceptibility to various forms of cancer. Altered expression of this protein has been seen in many tumors and is also associated with Alzheimer's disease (AD). Alternate transcriptional splice variants, encoding different isoforms, have been characterized. |
References |
|---|
| 1. Mol Cancer Ther. 2009 Dec;8(12):3369-78. 2. J Biol Chem. 2009 Nov 27;284(48):33233-41. |
Specification |
|
|---|---|
| Aliases | DTD; QR1; DHQU; DIA4; NMOR1; NMORI |
| Entrez GeneID | 1728 |
| Swissprot | P15559 |
| clone | 4D12 |
| WB Predicted band size | 31kDa |
| Host/Isotype | Mouse IgG1 |
| Antibody Type | Primary antibody |
| Storage | Store at 4°C short term. Aliquot and store at -20°C long term. Avoid freeze/thaw cycles. |
| Species Reactivity | Human |
| Immunogen | Purified recombinant fragment of human NQO1 expressed in E. Coli. |
| Formulation | Purified antibody in PBS with 0.05% sodium azide. |
Application |
|
|---|---|
| WB | 1/500 - 1/2000 |
| IHC | 1/200 - 1/1000 |
| FCM | 1/200 - 1/400 |
| ELISA | 1/10000 |
Product Image
-
Black line: Control Antigen (100 ng); Purple line: Antigen(10ng); Blue line: Antigen (50 ng); Red line: Antigen (100 ng);

-
Western blot analysis using NQO1 mouse mAb against A549 (1), SKNES (2), HepG2 (3), MCF-7 (4) and Hela (5) cell lysate.

-
Flow cytometric analysis of NIH/3T3 cells using NQO1 mouse mAb (green) and negative control (red).

-
Immunohistochemical analysis of paraffin-embedded human testis tissues using NQO1 mouse mAb with DAB staining.

-
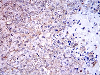
Immunohistochemical analysis of paraffin-embedded human ovarian cancer tissues using NQO1 mouse mAb with DAB staining.






鄂公网安备42018502007531号

