Mouse Monoclonal Antibody to PHB
货号:
30264
别名:
PHB1
应用:
WB,IHC,IF,FCM
反应种属:
Human,Mouse,Rat,Monkey
抗体类型:
Primary antibody
Swissprot:
P35232
规格:
目录价
在线咨询
Description |
|---|
Prohibitin is an evolutionarily conserved gene that is ubiquitously expressed. It is thought to be a negative regulator of cell proliferation and may be a tumor suppressor. Mutations in PHB have been linked to sporadic breast cancer. Prohibitin is expressed as two transcripts with varying lengths of 3' untranslated region. The longer transcript is present at higher levels in proliferating tissues and cells, suggesting that this longer 3' untranslated region may function as a trans-acting regulatory RNA. |
References |
|---|
| 1. Biochem Biophys Res Commun. 2009 Dec 18;390(3):1023-8. 2. J Cell Biochem. 2009 Nov 1;108(4):926-34. |
Specification |
|
|---|---|
| Aliases | PHB1 |
| Entrez GeneID | 5245 |
| Swissprot | P35232 |
| clone | 5H7 |
| WB Predicted band size | 30kDa |
| Host/Isotype | Mouse IgG1 |
| Antibody Type | Primary antibody |
| Storage | Store at 4°C short term. Aliquot and store at -20°C long term. Avoid freeze/thaw cycles. |
| Species Reactivity | Human,Mouse,Rat,Monkey |
| Immunogen | Purified recombinant fragment of human PHB expressed in E. Coli. |
| Formulation | Purified antibody in PBS with 0.05% sodium azide. |
Application |
|
|---|---|
| WB | 1/500 - 1/2000 |
| IHC | 1/200 - 1/1000 |
| IF | 1/200 - 1/1000 |
| FCM | 1/200 - 1/400 |
| ELISA | 1/10000 |
Product Image
-
Red: Control Antigen (100ng); Purple: Antigen (10ng); Green: Antigen (50ng); Blue: Antigen (100ng);

-
Western blot analysis using PHB mouse mAb against A431 (1), MCF-7 (2), Jurkat (3), Hela (4), HepG2 (5), A549 (6), NIH/3T3 (7), Cos7 (8) and PC-12 (9) cell lysate.

-
Immunofluorescence analysis of NIH/3T3 cells using PHB mouse mAb (green). Blue: DRAQ5 fluorescent DNA dye. Red: Actin filaments have been labeled with Alexa Fluor-555 phalloidin.

-
Flow cytometric analysis of MCF-7 cells using PHB mouse mAb (blue) and negative control (red).

-
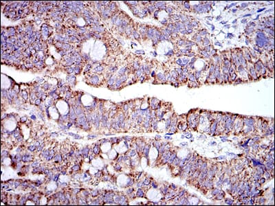
Immunohistochemical analysis of paraffin-embedded human rectum cancer tissues using PHB mouse mAb with DAB staining.

-
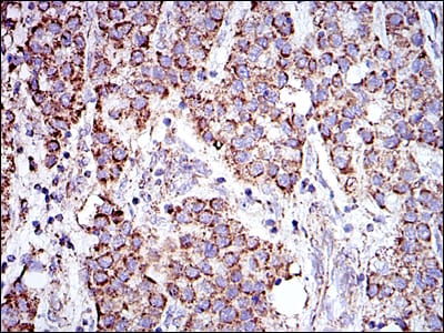
Immunohistochemical analysis of paraffin-embedded human liver cancer tissues using PHB mouse mAb with DAB staining.

-
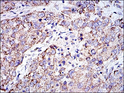
Immunohistochemical analysis of paraffin-embedded human lung cancer tissues using PHB mouse mAb with DAB staining.

-
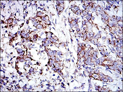
Immunohistochemical analysis of paraffin-embedded human stomach cancer tissues using PHB mouse mAb with DAB staining.









鄂公网安备42018502007531号

