-
分类: 科研抗体货号: 31095别名: IPOB; IPO-B; MNSOD; MVCD6; Mn-SOD应用: WB,IHC,FCM反应种属: Human
-
分类: 科研抗体货号: 31080别名: CD246; NBLST3应用: IF,FCM反应种属: Human
-
分类: 科研抗体货号: 31065别名: DBP-RB; UKVH5d应用: WB,IHC,IF,FCM反应种属: Human
-
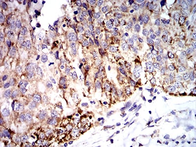
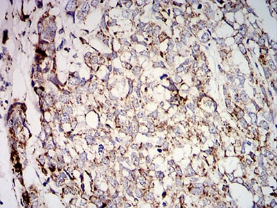
分类: 科研抗体货号: 31094别名: IPOB; IPO-B; MNSOD; MVCD6; Mn-SOD应用: IHC,IF,FCM反应种属: Human
-
分类: 科研抗体货号: 31079别名: EFP; Z147; RNF147; ZNF147应用: WB,IHC,IF,FCM反应种属: Human
-
分类: 科研抗体货号: 31064别名: CDHN; NCAD; CD325; CDw325应用: FCM反应种属: Human
-
分类: 科研抗体货号: 31093别名: Canine parvovirus nonstructural protein 1应用: WB,IHC,IF,FCM反应种属: Human, Mouse, Monkey
-
分类: 科研抗体货号: 31078别名: EFP; Z147; RNF147; ZNF147应用: WB,IHC,IF,FCM反应种属: Human
-
分类: 科研抗体货号: 31063别名: CDHN; NCAD; CD325; CDw325应用: IF,FCM反应种属: Human
-
分类: 科研抗体货号: 31092别名: ERR1; ERRa; ESRL1; NR3B1; ERRalpha应用: FCM反应种属: Human
鄂公网安备42018502007531号

