Mouse Monoclonal Antibody to SOD2
货号:
31095
别名:
IPOB; IPO-B; MNSOD; MVCD6; Mn-SOD
应用:
WB,IHC,FCM
反应种属:
Human
抗体类型:
Primary antibody
Swissprot:
P04179
规格:
目录价
在线咨询
Description |
|---|
This gene is a member of the iron/manganese superoxide dismutase family. It encodes a mitochondrial protein that forms a homotetramer and binds one manganese ion per subunit. This protein binds to the superoxide byproducts of oxidative phosphorylation and converts them to hydrogen peroxide and diatomic oxygen. Mutations in this gene have been associated with idiopathic cardiomyopathy (IDC), premature aging, sporadic motor neuron disease, and cancer. Alternative splicing of this gene results in multiple transcript variants. A related pseudogene has been identified on chromosome 1. |
References |
|---|
| 1.Dis Markers. 2015;2015:746329. 2.Free Radic Biol Med. 2015 Dec;89:379-86. |
Specification |
|
|---|---|
| Aliases | IPOB; IPO-B; MNSOD; MVCD6; Mn-SOD |
| Entrez GeneID | 6648 |
| Swissprot | P04179 |
| clone | 8H3F9 |
| WB Predicted band size | 24.7kDa |
| Host/Isotype | Mouse IgG1 |
| Antibody Type | Primary antibody |
| Storage | Store at 4°C short term. Aliquot and store at -20°C long term. Avoid freeze/thaw cycles. |
| Species Reactivity | Human |
| Immunogen | Purified recombinant fragment of human SOD2 (AA: 1-222) expressed in E. Coli. |
| Formulation | Purified antibody in PBS with 0.05% sodium azide |
Application |
|
|---|---|
| WB | 1/500 - 1/2000 |
| IHC | 1/200 - 1/1000 |
| FCM | 1/200 - 1/400 |
| ELISA | 1/10000 |
Product Image
-
Black line: Control Antigen (100 ng);Purple line: Antigen (10ng); Blue line: Antigen (50 ng); Red line:Antigen (100 ng)

-
Western blot analysis using SOD2 mouse mAb against Hela (1), HepG2 (2), and SH-SY5Y (3) cell lysate.

-
Flow cytometric analysis of MCF-7 cells using SOD2 mouse mAb (green) and negative control (red).

-
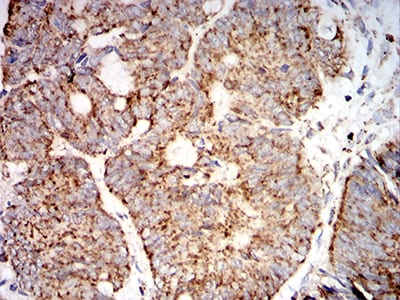
Immunohistochemical analysis of paraffin-embedded human breast cancer tissues using SOD2 mouse mAb with DAB staining.

-
Immunohistochemical analysis of paraffin-embedded human rectum cancer tissues using SOD2 mouse mAb with DAB staining.






鄂公网安备42018502007531号

