Mouse Monoclonal Antibody to CPV-NS1
货号:
31093
别名:
Canine parvovirus nonstructural protein 1
应用:
WB,IHC,IF,FCM
反应种属:
Human, Mouse, Monkey
抗体类型:
Primary antibody
Swissprot:
规格:
目录价
在线咨询
References |
|---|
| N |
Specification |
|
|---|---|
| Aliases | Canine parvovirus nonstructural protein 1 |
| Entrez GeneID | EF011664.1 |
| clone | 2B5B7 |
| WB Predicted band size | N |
| Host/Isotype | Mouse IgG1 |
| Antibody Type | Primary antibody |
| Storage | Store at 4°C short term. Aliquot and store at -20°C long term. Avoid freeze/thaw cycles. |
| Species Reactivity | Human, Mouse, Monkey |
| Immunogen | Purified recombinant fragment of Canine Parvovirus CPV-NS1 (AA: 544-668) expressed in E. Coli. |
| Formulation | Purified antibody in PBS with 0.05% sodium azide |
Application |
|
|---|---|
| WB | 1/500 - 1/2000 |
| IHC | 1/200 - 1/1000 |
| IF | 1/200 - 1/1000 |
| FCM | 1/200 - 1/400 |
| ELISA | 1/10000 |
Product Image
-
Black line: Control Antigen (100 ng);Purple line: Antigen (10ng); Blue line: Antigen (50 ng); Red line:Antigen (100 ng)

-
Western blot analysis using CPV-NS1 mouse mAb against K562 (1), BCBL-1 (2), Raw264.7 (3), and COS7 (4) cell lysate.

-
Immunofluorescence analysis of Hela cells using CPV-NS1 mouse mAb (green). Blue: DRAQ5 fluorescent DNA dye. Red: Actin filaments have been labeled with Alexa Fluor- 555 phalloidin. Secondary antibody from Fisher (Cat#: 35503)

-
Flow cytometric analysis of Hela cells using CPV-NS1 mouse mAb (green) and negative control (red).

-
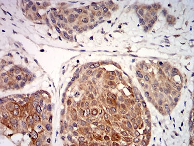
Immunohistochemical analysis of paraffin-embedded human ovarian cancer tissues using CPV-NS1 mouse mAb with DAB staining.

-
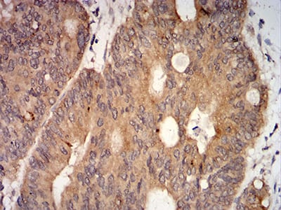
Immunohistochemical analysis of paraffin-embedded human rectum cancer tissues using CPV-NS1 mouse mAb with DAB staining.







鄂公网安备42018502007531号

