Mouse Monoclonal Antibody to DDX1
货号:
31065
别名:
DBP-RB; UKVH5d
应用:
WB,IHC,IF,FCM
反应种属:
Human
抗体类型:
Primary antibody
Swissprot:
Q92499
规格:
目录价
在线咨询
Description |
|---|
DEAD box proteins, characterized by the conserved motif Asp-Glu-Ala-Asp (DEAD), are putative RNA helicases. They are implicated in a number of cellular processes involving alteration of RNA secondary structure such as translation initiation, nuclear and mitochondrial splicing, and ribosome and spliceosome assembly. Based on their distribution patterns, some members of this family are believed to be involved in embryogenesis, spermatogenesis, and cellular growth and division. This gene encodes a DEAD box protein of unknown function. It shows high transcription levels in 2 retinoblastoma cell lines and in tissues of neuroectodermal origin. |
References |
|---|
| 1.Exp Cell Res. 2013 Aug 15;319(14):2244-53. 2.Breast Cancer Res Treat. 2011 May;127(1):53-63. |
Specification |
|
|---|---|
| Aliases | DBP-RB; UKVH5d |
| Entrez GeneID | 1653 |
| Swissprot | Q92499 |
| clone | 3E5B2 |
| WB Predicted band size | 82.4kDa |
| Host/Isotype | Mouse IgG1 |
| Antibody Type | Primary antibody |
| Storage | Store at 4°C short term. Aliquot and store at -20°C long term. Avoid freeze/thaw cycles. |
| Species Reactivity | Human |
| Immunogen | Purified recombinant fragment of human DDX1 (AA: 642-740) expressed in E. Coli. |
| Formulation | Purified antibody in PBS with 0.05% sodium azide |
Application |
|
|---|---|
| WB | 1/500 - 1/2000 |
| IHC | 1/200 - 1/1000 |
| IF | 1/200 - 1/1000 |
| FCM | 1/200 - 1/400 |
| ELISA | 1/10000 |
Product Image
-
Black line: Control Antigen (100 ng);Purple line: Antigen (10ng); Blue line: Antigen (50 ng); Red line:Antigen (100 ng)

-
Western blot analysis using DDX1 mouse mAb against Hela (1), MCF-7 (2), A431 (3), PC-3 (4), and Jurkat (5) cell lysate.

-
Immunofluorescence analysis of Hela cells using DDX1 mouse mAb. Blue: DRAQ5 fluorescent DNA dye. Red: Actin filaments have been labeled with Alexa Fluor- 555 phalloidin.

-
Immunofluorescence analysis of Hela cells using DDX1 mouse mAb (green). Blue: DRAQ5 fluorescent DNA dye. Red: Actin filaments have been labeled with Alexa Fluor- 555 phalloidin. Secondary antibody from Fisher (Cat#: 35503)

-
Flow cytometric analysis of Hela cells using DDX1 mouse mAb (green) and negative control (red).

-
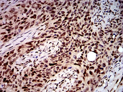
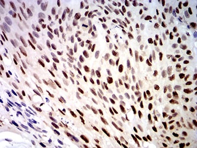
Immunohistochemical analysis of paraffin-embedded human cervical cancer tissues using DDX1 mouse mAb with DAB staining.

-
Immunohistochemical analysis of paraffin-embedded human esophageal cancer tissues using DDX1 mouse mAb with DAB staining.








鄂公网安备42018502007531号

