Mouse Monoclonal Antibody to TRIM25
货号:
31079
别名:
EFP; Z147; RNF147; ZNF147
应用:
WB,IHC,IF,FCM
反应种属:
Human
抗体类型:
Primary antibody
Swissprot:
Q14258
规格:
目录价
在线咨询
Description |
|---|
The protein encoded by this gene is a member of the tripartite motif (TRIM) family. The TRIM motif includes three zinc-binding domains, a RING, a B-box type 1 and a B-box type 2, and a coiled-coil region. The protein localizes to the cytoplasm. The presence of potential DNA-binding and dimerization-transactivation domains suggests that this protein may act as a transcription factor, similar to several other members of the TRIM family. Expression of the gene is upregulated in response to estrogen, and it is thought to mediate estrogen actions in breast cancer as a primary response gene. |
References |
|---|
| 1.Science. 2015 Oct 9;350(6257):217-21. 2.Oncogene. 2015 Nov 12;34(46):5729-38. |
Specification |
|
|---|---|
| Aliases | EFP; Z147; RNF147; ZNF147 |
| Entrez GeneID | 7706 |
| Swissprot | Q14258 |
| clone | 5B5B10 |
| WB Predicted band size | 71kDa |
| Host/Isotype | Mouse IgG2b |
| Antibody Type | Primary antibody |
| Storage | Store at 4°C short term. Aliquot and store at -20°C long term. Avoid freeze/thaw cycles. |
| Species Reactivity | Human |
| Immunogen | Purified recombinant fragment of human TRIM25 (AA: 211-360) expressed in E. Coli. |
| Formulation | Purified antibody in PBS with 0.05% sodium azide |
Application |
|
|---|---|
| WB | 1/500 - 1/2000 |
| IHC | 1/200 - 1/1000 |
| IF | 1/50 - 1/250 |
| FCM | 1/200 - 1/400 |
| ELISA | 1/10000 |
Product Image
-
Black line: Control Antigen (100 ng);Purple line: Antigen (10ng); Blue line: Antigen (50 ng); Red line:Antigen (100 ng)

-
Western blot analysis using TRIM25 mouse mAb against MCF-7 (1), Hela (2), K562 (3), A549 (4), and MOLT4 (5) cell lysate.

-
Immunofluorescence analysis of Hela cells using TRIM25 mouse mAb (green). Blue: DRAQ5 fluorescent DNA dye. Red: Actin filaments have been labeled with Alexa Fluor- 555 phalloidin. Secondary antibody from Fisher (Cat#: 35503)

-
Flow cytometric analysis of Hela cells using TRIM25 mouse mAb (green) and negative control (red).

-
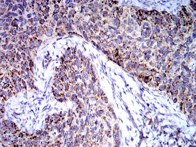
Immunohistochemical analysis of paraffin-embedded human cervical cancer tissues using TRIM25 mouse mAb with DAB staining.

-
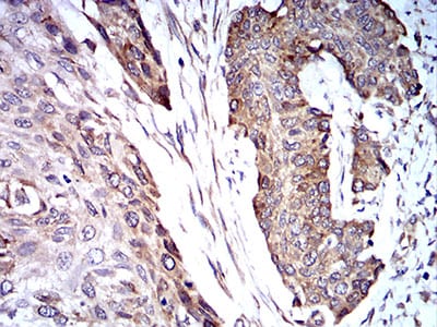
Immunohistochemical analysis of paraffin-embedded human esophageal cancer tissues using TRIM25 mouse mAb with DAB staining.







鄂公网安备42018502007531号

