-
分类: 科研抗体货号: P32606别名: T-cell leukemia/lymphoma protein 1A, Oncogene TCL-1, Oncogene TCL1, Protein p14 TCL1, TCL1A, TCL1应用: WB,FCM反应种属: Human
-
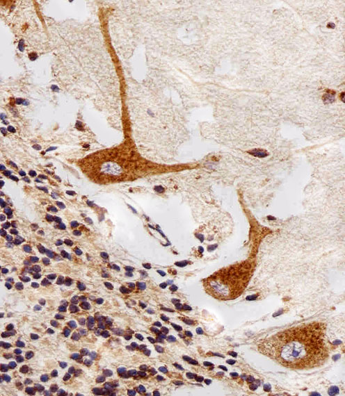
分类: 科研抗体货号: P32587别名: Tyrosine-protein kinase Fyn, Proto-oncogene Syn, Proto-oncogene c-Fyn, Src-like kinase, SLK, p59-Fyn, FYN应用: WB,IHC,FCM反应种属: Human
-
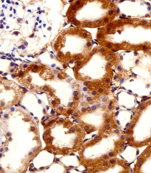
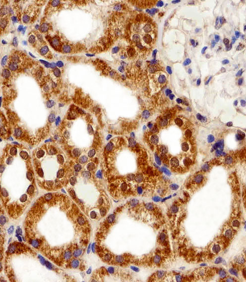
分类: 科研抗体货号: P32605别名: Myosin-14, Myosin heavy chain 14, Myosin heavy chain, non-muscle IIc, Non-muscle myosin heavy chain IIc, NMHC II-C, MYH14, KIAA2034应用: WB,IHC反应种属: Human
-
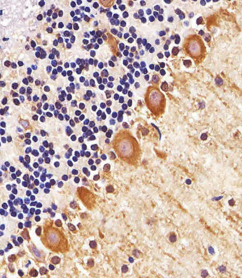
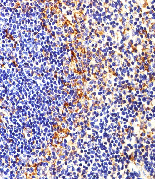
分类: 科研抗体货号: P32586别名: Palmitoyl-protein thioesterase 1, PPT-1, Palmitoyl-protein hydrolase 1, PPT1, PPT应用: WB,IHC,FCM反应种属: Human
-
分类: 科研抗体货号: P32604别名: Bardet-Biedl syndrome 5 protein, BBS5应用: WB反应种属: Human, Mouse
-
分类: 科研抗体货号: P32614别名: Triosephosphate isomerase, TIM, Triose-phosphate isomerase, TPI1, TPI应用: WB,IHC,FCM反应种属: Human, Mouse, Rat
-
分类: 科研抗体货号: P32603别名: Transcription factor AP-2-alpha, AP2-alpha, AP-2 transcription factor, Activating enhancer-binding protein 2-alpha, Activator protein 2, AP-2, Tfap2a, Ap2tf, Tcfap2a应用: WB反应种属: Human, Mouse, Rat
-
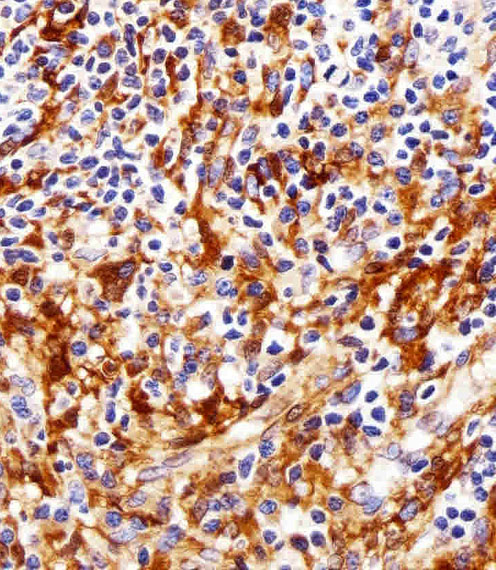
分类: 科研抗体货号: P32612别名: F-box/LRR-repeat protein 17, F-box and leucine-rich repeat protein 17, F-box only protein 13, FBXL17, FBL17, FBX13, FBXO13应用: WB,IHC,FCM反应种属: Human, Mouse
-
分类: 科研抗体货号: P32602别名: Basic salivary proline-rich protein 4, Salivary proline-rich protein Po, Parotid o protein, Salivary proline-rich protein II-1, Protein N1, Glycosylated protein A, Peptide P-D, Proline-rich peptide IB-5, PRB4应用: WB反应种属: Human
-
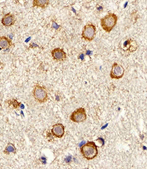
分类: 科研抗体货号: P32611别名: Zinc finger protein 175, Zinc finger protein OTK18, ZNF175应用: WB,IHC反应种属: Human
鄂公网安备42018502007531号

