Rabbit Polyclonal Antibody to FBXL17 Isoform 2
货号:
P32612
别名:
F-box/LRR-repeat protein 17, F-box and leucine-rich repeat protein 17, F-box only protein 13, FBXL17, FBL17, FBX13, FBXO13
应用:
WB,IHC,FCM
反应种属:
Human, Mouse
抗体类型:
Primary antibody
Swissprot:
Q9UF56
规格:
目录价
在线咨询
Description |
|---|
Substrate-recognition component of the SCF (SKP1-CUL1-F- box protein)-type E3 ubiquitin ligase complex (By similarity). |
Specification |
|
|---|---|
| Aliases | F-box/LRR-repeat protein 17, F-box and leucine-rich repeat protein 17, F-box only protein 13, FBXL17, FBL17, FBX13, FBXO13 |
| Entrez GeneID | 64839 |
| Swissprot | Q9UF56 |
| WB Predicted band size | 75.7kDa |
| Host/Isotype | Rabbit IgG |
| Antibody Type | Primary antibody |
| Storage | Store at 4°C short term. Aliquot and store at -20°C long term. Avoid freeze/thaw cycles. |
| Species Reactivity | Human, Mouse |
| Immunogen | This FBXL17 Isoform 2 antibody is generated from a rabbit immunized with a KLH conjugated synthetic peptide between 262-297 amino acids from the C-terminal region of human FBXL17 Isoform 2. |
Application |
|
|---|---|
| WB | 1/1000 |
| IHC | 1/100-1/500 |
| FCM | 1/25 |
Product Image
-
Western blot analysis of lysate from MCF-7 cell line, using FBXL17 Isoform 2 Antibody (C-term) (Cat. #P32612). P32612 was diluted at 1:1000. A goat anti-rabbit IgG H&L(HRP) at 1:5000 dilution was used as the secondary antibody. Lysate at 35ug.

-
Flow cytometric analysis of MCF-7 cells using FBXL17 Isoform 2 Antibody (C-term)(green, Cat#P32612) compared to an isotype control of rabbit IgG(blue). P32612 was diluted at 1:25 dilution. An Alexa Fluor® 488 goat anti-rabbit lgG at 1:400 dilution was used as the secondary antibody.

-
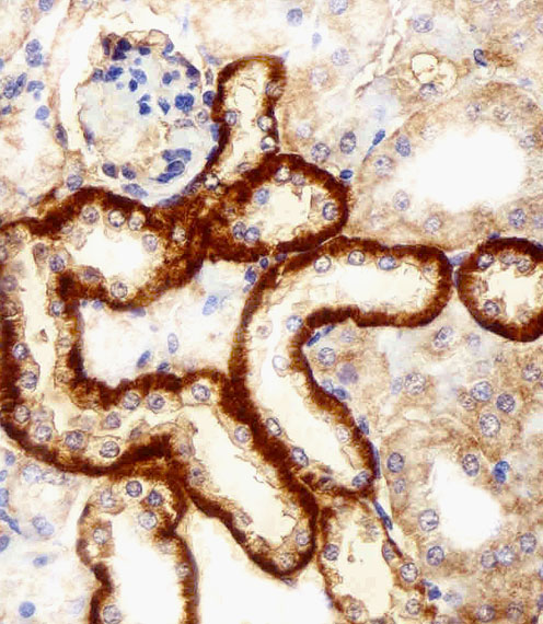
Immunohistochemical analysis of paraffin-embedded H. kidney section using FBXL17 Isoform 2 Antibody (C-term)(Cat#P32612). P32612 was diluted at 1:100 dilution. A peroxidase-conjugated goat anti-rabbit IgG at 1:400 dilution was used as the secondary antibody, followed by DAB staining.

-
Immunohistochemical analysis of paraffin-embedded R. kidney section using FBXL17 Isoform 2 Antibody (C-term)(Cat#P32612). P32612 was diluted at 1:100 dilution. A peroxidase-conjugated goat anti-rabbit IgG at 1:400 dilution was used as the secondary antibody, followed by DAB staining.

-
Immunohistochemical analysis of paraffin-embedded M. kidney section using FBXL17 Isoform 2 Antibody (C-term)(Cat#P32612). P32612 was diluted at 1:100 dilution. A peroxidase-conjugated goat anti-rabbit IgG at 1:400 dilution was used as the secondary antibody, followed by DAB staining.






鄂公网安备42018502007531号

