Mouse Monoclonal Antibody to FYN
货号:
P32587
别名:
Tyrosine-protein kinase Fyn, Proto-oncogene Syn, Proto-oncogene c-Fyn, Src-like kinase, SLK, p59-Fyn, FYN
应用:
WB,IHC,FCM
反应种属:
Human
抗体类型:
Primary antibody
Swissprot:
P06241
规格:
目录价
在线咨询
Description |
|---|
Non-receptor tyrosine-protein kinase that plays a role in many biological processes including regulation of cell growth and survival, cell adhesion, integrin-mediated signaling, cytoskeletal remodeling, cell motility, immune response and axon guidance. Inactive FYN is phosphorylated on its C-terminal tail within the catalytic domain. Following activation by PKA, the protein subsequently associates with PTK2/FAK1, allowing PTK2/FAK1 phosphorylation, activation and targeting to focal adhesions. Involved in the regulation of cell adhesion and motility through phosphorylation of CTNNB1 (beta-catenin) and CTNND1 (delta- catenin). Regulates cytoskeletal remodeling by phosphorylating several proteins including the actin regulator WAS and the microtubule-associated proteins MAP2 and MAPT. Promotes cell survival by phosphorylating AGAP2/PIKE-A and preventing its apoptotic cleavage. Participates in signal transduction pathways that regulate the integrity of the glomerular slit diaphragm (an essential part of the glomerular filter of the kidney) by phosphorylating several slit diaphragm components including NPHS1, KIRREL and TRPC6. Plays a role in neural processes by phosphorylating DPYSL2, a multifunctional adapter protein within the central nervous system, ARHGAP32, a regulator for Rho family GTPases implicated in various neural functions, and SNCA, a small pre-synaptic protein. Participates in the downstream signaling pathways that lead to T-cell differentiation and proliferation following T-cell receptor (TCR) stimulation. Also participates in negative feedback regulation of TCR signaling through phosphorylation of PAG1, thereby promoting interaction between PAG1 and CSK and recruitment of CSK to lipid rafts. CSK maintains LCK and FYN in an inactive form. Promotes CD28-induced phosphorylation of VAV1. |
Specification |
|
|---|---|
| Aliases | Tyrosine-protein kinase Fyn, Proto-oncogene Syn, Proto-oncogene c-Fyn, Src-like kinase, SLK, p59-Fyn, FYN |
| Entrez GeneID | 2534 |
| Swissprot | P06241 |
| WB Predicted band size | 60.8kDa |
| Host/Isotype | Mouse IgG1 |
| Antibody Type | Primary antibody |
| Storage | Store at 4°C short term. Aliquot and store at -20°C long term. Avoid freeze/thaw cycles. |
| Species Reactivity | Human |
| Immunogen | This FYN antibody is generated from a mouse immunized with a recombinant preotein from human FYN. |
Application |
|
|---|---|
| WB | 1/1000 |
| IHC | 1/100-1/500 |
| FCM | 1/25 |
Product Image
-
Western blot analysis of lysate from 293 cell line using FYN (Cat. # P32587). P32587 was diluted at 1:1000 at each lane. A goat anti-mouse IgG H&L(HRP) at 1:3000 dilution was used as the secondary antibody. Lysate at 35μg per lane.

-
Flow cytometric analysis of Hela cells using FYN(green, Cat#P32587) compared to an isotype control of mouse IgG1(blue). P32587 was diluted at 1:25 dilution. An Alexa Fluor® 488 goat anti-mouse lgG at 1:400 dilution was used as the secondary antibody.

-
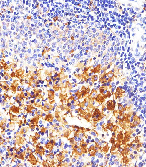
Immunohistochemical analysis of paraffin-embedded H. tonsil section using FYN(Cat#P32587). P32587 was diluted at 1:25 dilution. A peroxidase-conjugated goat anti-mouse IgG at 1:400 dilution was used as the secondary antibody, followed by DAB staining.

-
Immunohistochemical analysis of paraffin-embedded M. spleen section using FYN(Cat#P32587). P32587 was diluted at 1:25 dilution. A peroxidase-conjugated goat anti-mouse IgG at 1:400 dilution was used as the secondary antibody, followed by DAB staining.

-
Immunohistochemical analysis of paraffin-embedded R. spleen section using FYN(Cat#P32587). P32587 was diluted at 1:25 dilution. A peroxidase-conjugated goat anti-mouse IgG at 1:400 dilution was used as the secondary antibody, followed by DAB staining.






鄂公网安备42018502007531号

