Mouse Monoclonal Antibody to PPT1
货号:
P32586
别名:
Palmitoyl-protein thioesterase 1, PPT-1, Palmitoyl-protein hydrolase 1, PPT1, PPT
应用:
WB,IHC,FCM
反应种属:
Human
抗体类型:
Primary antibody
Swissprot:
P50897
规格:
目录价
在线咨询
Description |
|---|
Removes thioester-linked fatty acyl groups such as palmitate from modified cysteine residues in proteins or peptides during lysosomal degradation. Prefers acyl chain lengths of 14 to 18 carbons. |
Specification |
|
|---|---|
| Aliases | Palmitoyl-protein thioesterase 1, PPT-1, Palmitoyl-protein hydrolase 1, PPT1, PPT |
| Entrez GeneID | 5538 |
| Swissprot | P50897 |
| WB Predicted band size | 34.2kDa |
| Host/Isotype | Mouse IgG1 |
| Antibody Type | Primary antibody |
| Storage | Store at 4°C short term. Aliquot and store at -20°C long term. Avoid freeze/thaw cycles. |
| Species Reactivity | Human |
| Immunogen | This PPT1 antibody is generated from a mouse immunized with a full-length recombinant protein from human PPT1. |
| Formulation | Purified antibody in TBS with 0.05% sodium azide. |
Application |
|
|---|---|
| WB | 1/1000 |
| IHC | 1/100-1/500 |
| FCM | 1/25 |
Product Image
-
Western blot analysis of lysate from HepG2 cell line using PPT1 Antibody (C-term) (Cat. # P32586). P32586 was diluted at 1:1000 at each lane. A goat anti-mouse IgG H&L(HRP) at 1:3000 dilution was used as the secondary antibody. Lysate at 35μg per lane.

-
Flow cytometric analysis of HepG2 cells using PPT1 Antibody (C-term)(green, Cat#P32586) compared to an isotype control of mouse IgG1(blue). P32586 was diluted at 1:25 dilution. An Alexa Fluor® 488 goat anti-mouse lgG at 1:400 dilution was used as the secondary antibody.

-
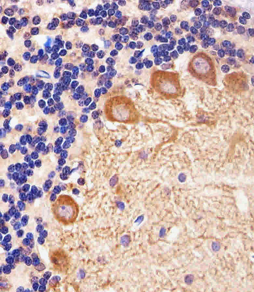
Immunohistochemical analysis of paraffin-embedded H. cerebellum section using PPT1 Antibody (C-term)(Cat#P32586). P32586 was diluted at 1:25 dilution. A peroxidase-conjugated goat anti-mouse IgG at 1:400 dilution was used as the secondary antibody, followed by DAB staining.

-
Immunohistochemical analysis of paraffin-embedded M. cerebellum section using PPT1 Antibody (C-term)(Cat#P32586). P32586 was diluted at 1:25 dilution. A peroxidase-conjugated goat anti-mouse IgG at 1:400 dilution was used as the secondary antibody, followed by DAB staining.

-
Immunohistochemical analysis of paraffin-embedded R. cerebellum section using PPT1 Antibody (C-term)(Cat#P32586). P32586 was diluted at 1:25 dilution. A peroxidase-conjugated goat anti-mouse IgG at 1:400 dilution was used as the secondary antibody, followed by DAB staining.






鄂公网安备42018502007531号

