-
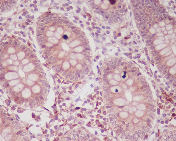
分类: 科研抗体货号: P17113别名: BCH; BHC; NK-2; TEBP; TTF1; NKX2A; TITF1; TTF-1; NKX2.1;;Nkx 2.1应用: WB,IHC/IHF,IF,FCM反应种属: Human,Mouse,Rat
-
分类: 科研抗体货号: P17111别名: H3 histone family, member A; H3/A; H31; H3FA; H3FB; H3FC; H3FD; H3FF; H3FH; H3FI; H3FJ; H3FK; H3FL; HIST1H3A; HIST1H3B; HIST1H3C; HIST1H3D; HIST1H3E; HIST1H3F; HIST1H3G; HIST1H3H; HIST1H3I; HIST1H3J; histone 1, H3a; histone cluster 1, H3a; Histone H3.1;;A应用: WB,IHC/IHF,IF,IP反应种属: Human,Rat
-
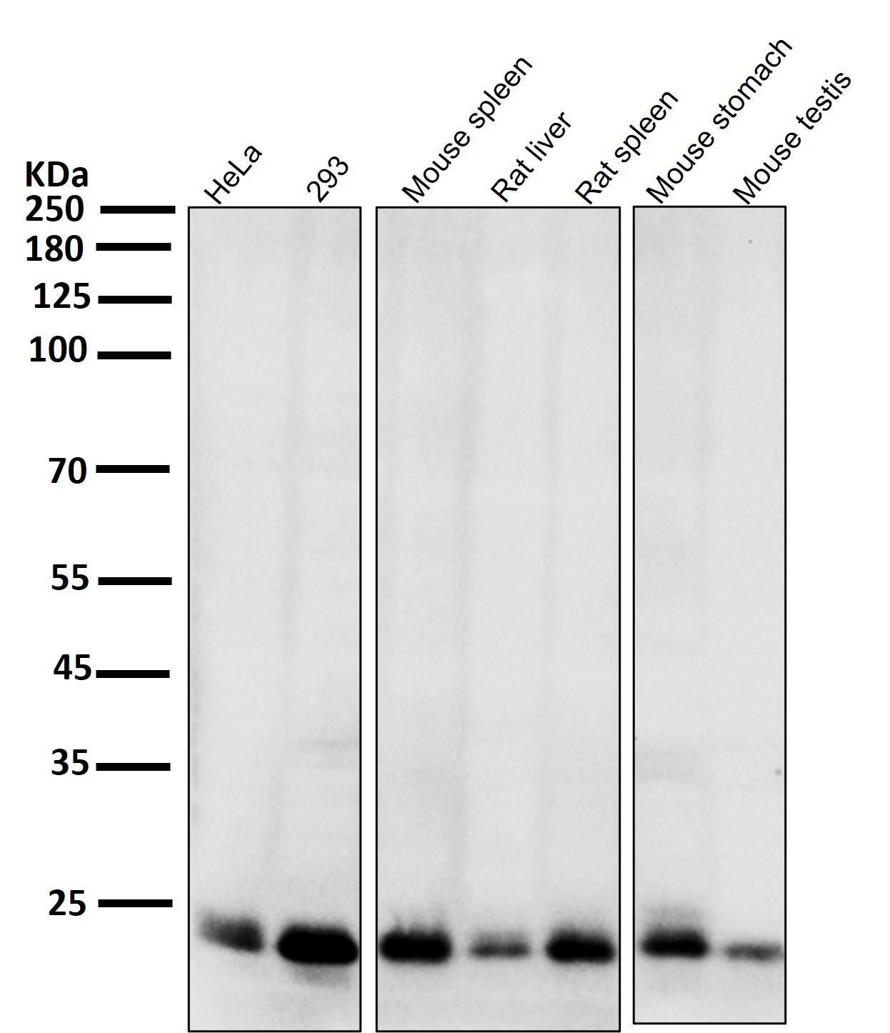
分类: 科研抗体货号: P17129别名: p16 Arc; ARPC5; ARC16; Arp2/3 protein complex subunit p16;;p16 ARC应用: WB,IHC/IHF,IF,IP,FCM反应种属: Human,Mouse,Rat
-
分类: 科研抗体货号: P17110别名: N myc interactor; NMI; NMYC and STAT interactor; NMYC interactor;;N myc interactor应用: WB,IHC/IHF,IF,IP反应种属: Human
-
分类: 科研抗体货号: P17146别名: ATP-binding cassette transporter 8; White protein homolog; ABC8; WHT1;ABCG1; ABC transporter 8; WHITE1;;ABCG1应用: WB,IHC/IHF,IF,反应种属: Human,Rat
-
分类: 科研抗体货号: P17127别名: DOT 1; DOT1L; KMT4; Histone methyltransferase DOT1L; H3 lysine-79 specific; ;KMT4应用: WB反应种属: Human,Mouse
-
分类: 科研抗体货号: P17109别名: Flotillin1 ; Flotillin 1; Reggie 2; FLOT1; Integral membrane component of caveolae; ;Flotillin 1应用: WB反应种属: Human,Mouse
-
分类: 科研抗体货号: P17144别名: C myb; Myb proto oncogene; v Myb; Myb protein;;p-c Myb (S11)应用: WB,IHC/IHF,IF,IP反应种属: Human
-
分类: 科研抗体货号: P17126别名: BAM; BIM; BOD; BimL; BimS; BimEL; BIM-beta6; BIM-beta7; BIM-alpha6;BCL2L11;;BIM应用: WB,IHC/IHF,IF,IP,FCM反应种属: Human,Mouse,Rat
-
分类: 科研抗体货号: P17108别名: APAF; APAF-1; APAF1; apoptotic peptidase activating factor 1; apoptotic protease activating factor 1; Apoptotic protease-activating factor 1; CED4; DKFZp781B1145; KIAA0413;APAF 1应用: WB,IHC/IHF,IF,反应种属: Human,Mouse
鄂公网安备42018502007531号

