Rabbit Monoclonal to Bim
货号:
P17126
别名:
BAM; BIM; BOD; BimL; BimS; BimEL; BIM-beta6; BIM-beta7; BIM-alpha6;BCL2L11;;BIM
应用:
WB,IHC/IHF,IF,IP,FCM
反应种属:
Human,Mouse,Rat
抗体类型:
Primary antibody
Swissprot:
O43521
规格:
目录价
在线咨询
Description |
|---|
Induces apoptosis and anoikis. Isoform BimL is more potent than isoform BimEL. Isoform Bim-alpha1, isoform Bim-alpha2 and isoform Bim-alpha3 induce apoptosis, although less potent than isoform BimEL, isoform BimL and isoform BimS. Isoform Bim-gamma induces apoptosis. Isoform Bim-alpha3 induces apoptosis possibly through a caspase-mediated pathway. Isoform BimAC and isoform BimABC lack the ability to induce apoptosis. |
Specification |
|
|---|---|
| Aliases | BAM; BIM; BOD; BimL; BimS; BimEL; BIM-beta6; BIM-beta7; BIM-alpha6;BCL2L11;;BIM |
| Swissprot | O43521 |
| WB Predicted band size | 22 kDa |
| Host/Isotype | Rabbit IgG |
| Antibody Type | Primary antibody |
| Storage | Store at 4°C short term. Aliquot and store at -20°C long term. Avoid freeze/thaw cycles. |
| Species Reactivity | Human,Mouse,Rat |
| Immunogen | A synthesized peptide derived from human BIM |
| Formulation | Purified antibody in PBS with 0.05% sodium azide,0.05% BSA and 50% glycerol. |
Application |
|
|---|---|
| WB | 1/1000-1/2000 |
| IP | 1/20-1/50 |
| IHC | IHC:1/100-1/200;IHF:1/50-1/200 |
| IF | 1/50-1/200 |
| FCM | 1/20-1/100 |
Product Image
-
All lanes use the Antibody at 1:2K dilution for 1 hour at room temperature.

-
Western blot analysis of Bim expression in A431 cell lysate.

-
Immunofluorescent analysis using the Antibody at 1:150 dilution.

-
Immunofluorescent analysis of Raji cells, using Bim Antibody.

-
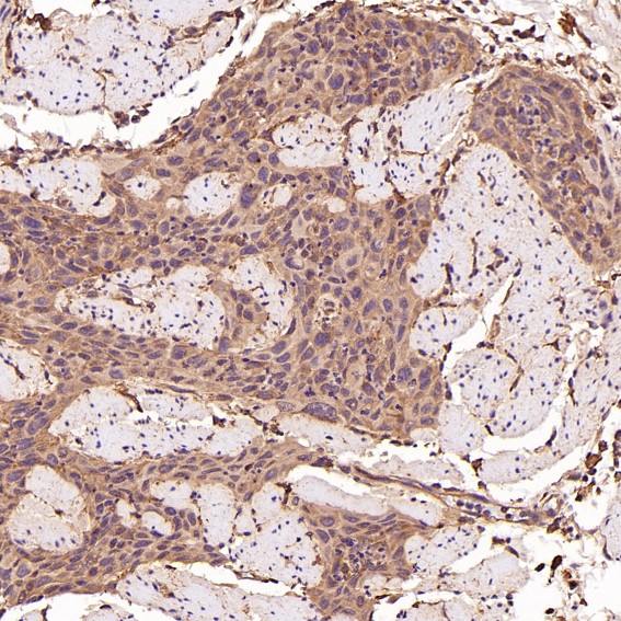
Immunohistochemical analysis of paraffin-embedded Human esophageal carcinoma, using the Antibody at 1:100 dilution.

-
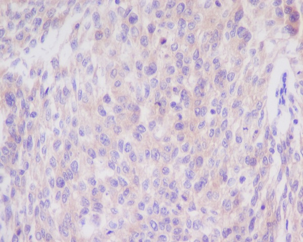
Immunohistochemical analysis of paraffin-embedded human cervix cancer, using Bim Antibody.

-
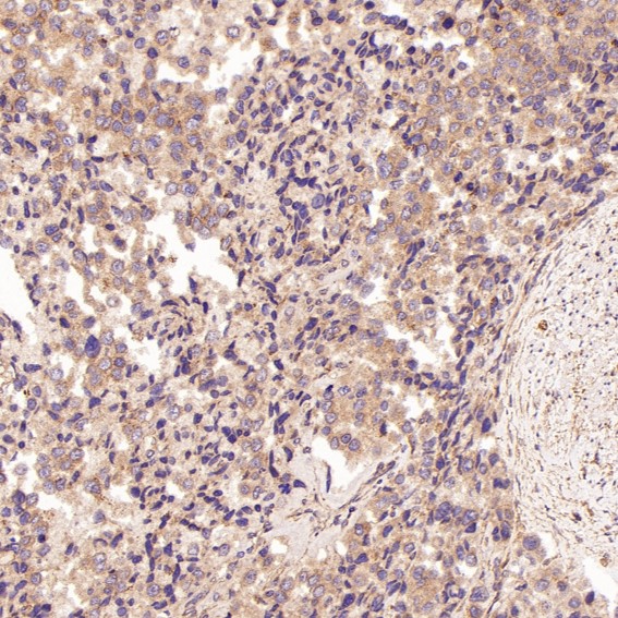
Immunohistochemical analysis of paraffin-embedded Human prostate cancer, using the Antibody at 1:100 dilution.








鄂公网安备42018502007531号

