Rabbit Monoclonal to APAF1
货号:
P17108
别名:
APAF; APAF-1; APAF1; apoptotic peptidase activating factor 1; apoptotic protease activating factor 1; Apoptotic protease-activating factor 1; CED4; DKFZp781B1145; KIAA0413;APAF 1
应用:
WB,IHC/IHF,IF,
反应种属:
Human,Mouse
抗体类型:
Primary antibody
Swissprot:
O14727
规格:
目录价
在线咨询
Description |
|---|
Oligomeric Apaf-1 mediates the cytochrome c-dependent autocatalytic activation of pro-caspase-9 (Apaf-3), leading to the activation of caspase-3 and apoptosis. This activation requires ATP. Isoform 6 is less effective in inducing apoptosis. |
Specification |
|
|---|---|
| Aliases | APAF; APAF-1; APAF1; apoptotic peptidase activating factor 1; apoptotic protease activating factor 1; Apoptotic protease-activating factor 1; CED4; DKFZp781B1145; KIAA0413;APAF 1 |
| Swissprot | O14727 |
| WB Predicted band size | Calculated MW: 142 kDa ; Observed MW: 135 kDa |
| Host/Isotype | Rabbit IgG |
| Antibody Type | Primary antibody |
| Storage | Store at 4°C short term. Aliquot and store at -20°C long term. Avoid freeze/thaw cycles. |
| Species Reactivity | Human,Mouse |
| Immunogen | A synthesized peptide derived from human APAF 1 |
| Formulation | Purified antibody in PBS with 0.05% sodium azide,0.05% BSA and 50% glycerol. |
Application |
|
|---|---|
| WB | 1/1000-1/2000 |
| IHC | IHC:1/100-1/200;IHF:1/50-1/200 |
| IF | 1/50-1/200 |
Product Image
-
All lanes use the Antibody at 1:1K dilution for 1 hour at room temperature.

-
Western blot analysis of APAF1 expression in (1) HeLa cell lysate; (2) MCF-7 cell lysate.

-
Immunofluorescent analysis using the Antibody at 1:50 dilution.

-
Immunofluorescent analysis using the Antibody at 1:50 dilution.

-
Immunofluorescent analysis using the Antibody at 1:100 dilution.

-
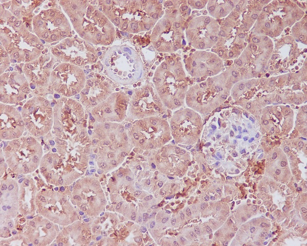
Immunohistochemical analysis of paraffin-embedded mouse kidney, using APAF1 Antibody .







鄂公网安备42018502007531号

