Rabbit Monoclonal to TTF1
货号:
P17113
别名:
BCH; BHC; NK-2; TEBP; TTF1; NKX2A; TITF1; TTF-1; NKX2.1;;Nkx 2.1
应用:
WB,IHC/IHF,IF,FCM
反应种属:
Human,Mouse,Rat
抗体类型:
Primary antibody
Swissprot:
P43699
规格:
目录价
在线咨询
Description |
|---|
Transcription factor that binds and activates the promoter of thyroid specific genes such as thyroglobulin, thyroperoxidase, and thyrotropin receptor. Crucial in the maintenance of the thyroid differentiation phenotype. May play a role in lung development and surfactant homeostasis. Forms a regulatory loop with GRHL2 that coordinates lung epithelial cell morphogenesis and differentiation. |
Specification |
|
|---|---|
| Aliases | BCH; BHC; NK-2; TEBP; TTF1; NKX2A; TITF1; TTF-1; NKX2.1;;Nkx 2.1 |
| Swissprot | P43699 |
| WB Predicted band size | 39 kDa |
| Host/Isotype | Rabbit IgG |
| Antibody Type | Primary antibody |
| Storage | Store at 4°C short term. Aliquot and store at -20°C long term. Avoid freeze/thaw cycles. |
| Species Reactivity | Human,Mouse,Rat |
| Immunogen | A synthesized peptide derived from human Nkx 2.1 |
| Formulation | Purified antibody in PBS with 0.05% sodium azide,0.05% BSA and 50% glycerol. |
Application |
|
|---|---|
| WB | 1/1000-1/2000 |
| IHC | IHC:1/100-1/200;IHF:1/50-1/200 |
| IF | 1/50-1/200 |
| FCM | 1/20-1/100 |
Product Image
-
All lanes use the Antibody at 1:2K dilution for 1 hour at room temperature.

-
All lanes use the Antibody at 1:2K dilution for 1 hour at room temperature.

-
Western blot analysis of TTF1 expression in 293 cell lysate.

-
Immunofluorescent analysis of Hela cells, using TTF1 Antibody .

-
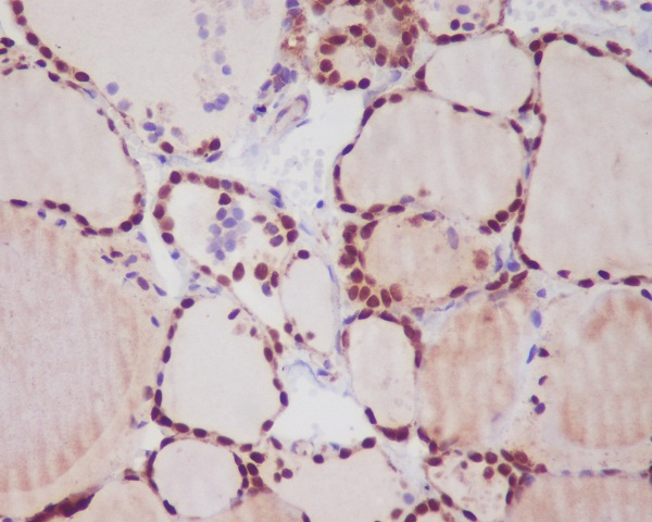
Immunohistochemical analysis of paraffin-embedded human thyroid, using TTF1 Antibody.






鄂公网安备42018502007531号

