-
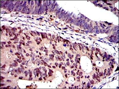
分类: 科研抗体货号: 30248别名: IPD1; REN64; NY-REN-64应用: WB,IHC,FCM反应种属: Human,Mouse,Rat,,Monkey
-
分类: 科研抗体货号: 30231别名: CRKL应用: FCM反应种属: Human
-
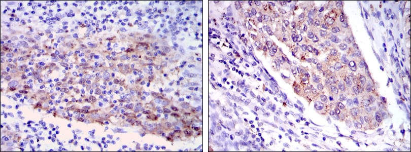
分类: 科研抗体货号: 30236别名: CLG; CLGN应用: IHC,IF,FCM反应种属: Human
-
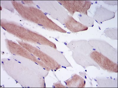
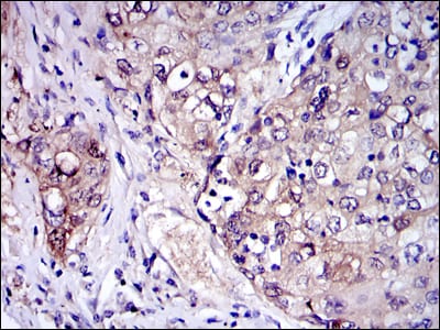
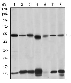
分类: 科研抗体货号: 30247别名: FPL; IDC; LFP; CDDC; EMD2; FPLD; HGPS; LDP1; LMN1; LMNC; PRO1; CDCD1; CMD1A; FPLD2; LMNL1; CMT2B1应用: WB,IHC反应种属: Human,Mouse,Rat
-
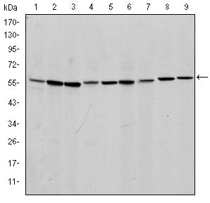
分类: 科研抗体货号: 30230别名: SLK; SYN; MGC45350应用: WB反应种属: Human,Mouse
-
分类: 科研抗体货号: 30235别名: AAT6; ACTSA; α-Smooth Muscle Actin;Alpha-actin-2;Alpha actin 2应用: WB,IHC,IF,FCM反应种属: Human,Mouse,Rat,Monkey
-
分类: 科研抗体货号: 30246别名: AP1; AP-1; c-Jun; Jun应用: WB,IHC,IF,FCM反应种属: Human,Mouse,Monkey
-
分类: 科研抗体货号: 30229别名: SLK; SYN; MGC45350应用: IHC,IF,FCM反应种属: Human
-
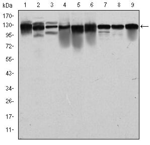
分类: 科研抗体货号: 30260别名: BM28; CCNL1; CDCL1; cdc19; D3S3194; MITOTIN; KIAA0030; MGC10606应用: WB,IHC,FCM反应种属: Human,Mouse,Rat,Monkey
-
分类: 科研抗体货号: 30245别名: AIFM1; AIF; PDCD8; COXPD6; MGC111425应用: WB,IHC,IF,FCM反应种属: Human,Mouse,Rat,,Monkey
鄂公网安备42018502007531号

