Mouse Monoclonal Antibody to IRAK4
货号:
30248
别名:
IPD1; REN64; NY-REN-64
应用:
WB,IHC,FCM
反应种属:
Human,Mouse,Rat,,Monkey
抗体类型:
Primary antibody
Swissprot:
Q9NWZ3
规格:
目录价
在线咨询
Description |
|---|
This gene encodes a kinase that activates NF-kappaB in both the Toll-like receptor (TLR) and T-cell receptor (TCR) signaling pathways. The protein is essential for most innate immune responses. Mutations in this gene result in IRAK4 deficiency and recurrent invasive pneumococcal disease. Multiple transcript variants encoding different isoforms have been found for this gene. |
References |
|---|
| 1. J Biol Chem. 2010 Jun 11;285(24):18276-82. 2. Scand J Immunol. 2009 Sep;70(3):264-76. |
Specification |
|
|---|---|
| Aliases | IPD1; REN64; NY-REN-64 |
| Entrez GeneID | 51135 |
| Swissprot | Q9NWZ3 |
| clone | 2H9 |
| WB Predicted band size | 52kDa |
| Host/Isotype | Mouse IgG1 |
| Antibody Type | Primary antibody |
| Storage | Store at 4°C short term. Aliquot and store at -20°C long term. Avoid freeze/thaw cycles. |
| Species Reactivity | Human,Mouse,Rat,,Monkey |
| Immunogen | Purified recombinant fragment of human IRAK4 expressed in E. Coli. |
| Formulation | Purified antibody in PBS with 0.05% sodium azide. |
Application |
|
|---|---|
| WB | 1/500 - 1/2000 |
| IHC | 1/200 - 1/1000 |
| FCM | 1/200 - 1/400 |
| ELISA | 1/10000 |
Product Image
-
Red: Control Antigen (100ng); Purple: Antigen (10ng); Green: Antigen (50ng); Blue: Antigen (100ng);

-
Western blot analysis using IRAK4 mouse mAb against THP-1 (1), Hela (2), K562 (3), MCF-7 (4), RAW264.7 (5), Jurkat (6) and Cos7 (7) cell lysate.

-
Flow cytometric analysis of Hela cells using IRAK4 mouse mAb (blue) and negative control (red).

-
Immunohistochemical analysis of paraffin-embedded human lung cancer tissues using IRAK4 mouse mAb with DAB staining.

-
Immunohistochemical analysis of paraffin-embedded human kidney cancer tissues using IRAK4 mouse mAb with DAB staining.

-
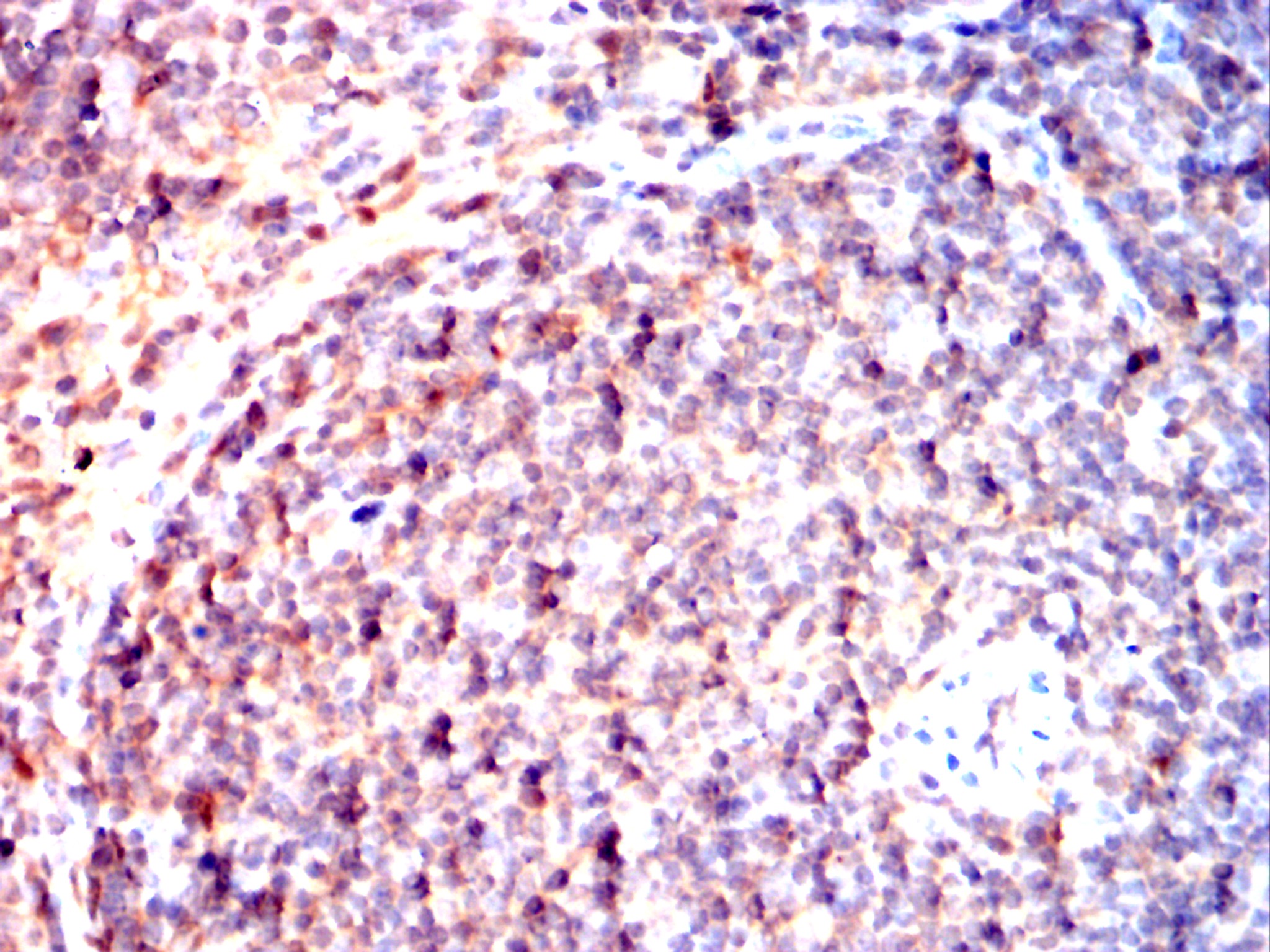
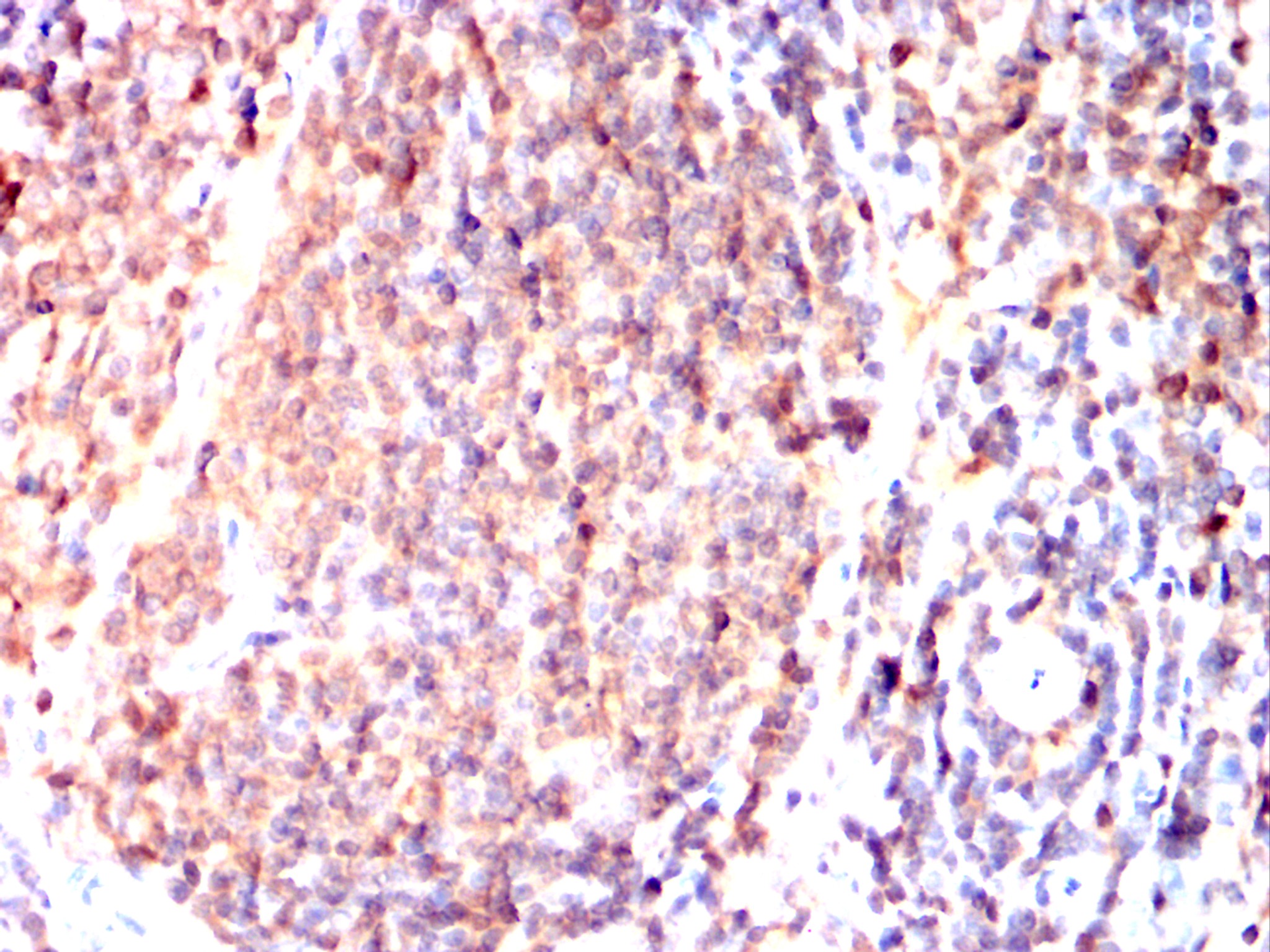
Immunohistochemical analysis of paraffin-embedded Mouse spleen using IRAK4 mouse mAb with DAB staining.

-
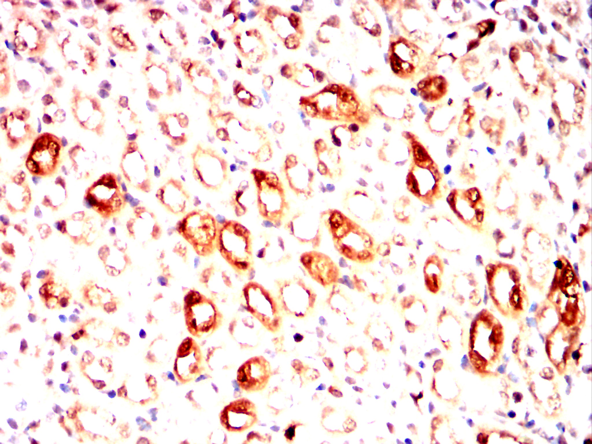
Immunohistochemical analysis of paraffin-embedded Mouse kidney using IRAK4 mouse mAb with DAB staining.

-
Immunohistochemical analysis of paraffin-embedded Rat spleen using IRAK4 mouse mAb with DAB staining.

-
Immunohistochemical analysis of paraffin-embedded Rat kidney using IRAK4 mouse mAb with DAB staining.










鄂公网安备42018502007531号

