Mouse Monoclonal Antibody to ACTA2
货号:
30235
别名:
AAT6; ACTSA; α-Smooth Muscle Actin;Alpha-actin-2;Alpha actin 2
应用:
WB,IHC,IF,FCM
反应种属:
Human,Mouse,Rat,Monkey
抗体类型:
Primary antibody
Swissprot:
P62736
规格:
目录价
在线咨询
Description |
|---|
The protein encoded by this gene belongs to the actin family of proteins, which are highly conserved proteins that play a role in cell motility, structure and integrity. Alpha, beta and gamma actin isoforms have been identified, with alpha actins being a major constituent of the contractile apparatus, while beta and gamma actins are involved in the regulation of cell motility. This actin is an alpha actin that is found in skeletal muscle. Defects in this gene cause aortic aneurysm familial thoracic type 6. Multiple alternatively spliced variants, encoding the same protein, have been identified. |
References |
|---|
| 1. J Hum Genet. 2009 Nov;54(11):687-8. 2. Hum Mutat. 2009 Oct;30(10):1406-11. |
Specification |
|
|---|---|
| Aliases | AAT6; ACTSA; α-Smooth Muscle Actin;Alpha-actin-2;Alpha actin 2 |
| Entrez GeneID | 59 |
| Swissprot | P62736 |
| clone | 4A4 |
| WB Predicted band size | 42kDa |
| Host/Isotype | Mouse IgG1 |
| Antibody Type | Primary antibody |
| Storage | Store at 4°C short term. Aliquot and store at -20°C long term. Avoid freeze/thaw cycles. |
| Species Reactivity | Human,Mouse,Rat,Monkey |
| Immunogen | Synthesized peptide of human ACTA2. |
| Formulation | Ascitic fluid containing 0.03% sodium azide. |
Application |
|
|---|---|
| WB | 1/500 - 1/2000 |
| IHC | 1/200 - 1/1000 |
| IF | 1/200 - 1/1000 |
| FCM | 1/200 - 1/400 |
| ELISA | 1/10000 |
Product Image
-
Red: Control Antigen (100ng); Purple: Antigen (10ng); Green: Antigen (50ng); Blue: Antigen (100ng);

-
Western blot analysis using ACTA2 mouse mAb against Hela (1), A431 (2), Jurkat (3), K562 (4), HEK293 (5), HepG2 (6), NIH/3T3 (7), PC-12 (8) and Cos7 (9) cell lysate.

-
Immunofluorescence analysis of HepG2 cells using ACTA2 mouse mAb (green). Red: Actin filaments have been labeled with Alexa Fluor-555 phalloidin. Blue: DRAQ5 fluorescent DNA dye.

-
Flow cytometric analysis of Hela cells using ACTA2 mouse mAb (green) and negative control (purple).

-
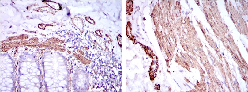
Immunohistochemical analysis of paraffin-embedded human duodenum tissues (left) and human esophagus tissues (right) using ACTA2 mouse mAb with DAB staining.






鄂公网安备42018502007531号

