Mouse Monoclonal Antibody to c-Jun
货号:
30246
别名:
AP1; AP-1; c-Jun; Jun
应用:
WB,IHC,IF,FCM
反应种属:
Human,Mouse,Monkey
抗体类型:
Primary antibody
Swissprot:
P05412
规格:
目录价
在线咨询
Description |
|---|
This gene is the putative transforming gene of avian sarcoma virus 17. It encodes a protein which is highly similar to the viral protein, and which interacts directly with specific target DNA sequences to regulate gene expression. This gene is intronless and is mapped to 1p32-p31, a chromosomal region involved in both translocations and deletions in human malignancies. |
References |
|---|
| 1. J Biol Chem. 2010 Mar 12;285(11):8218-26. 2. Mol Cancer. 2010 May 19;9:111. |
Specification |
|
|---|---|
| Aliases | AP1; AP-1; c-Jun; Jun |
| Entrez GeneID | 3725 |
| Swissprot | P05412 |
| clone | 5B1 |
| WB Predicted band size | 43kDa |
| Host/Isotype | Mouse IgG1 |
| Antibody Type | Primary antibody |
| Storage | Store at 4°C short term. Aliquot and store at -20°C long term. Avoid freeze/thaw cycles. |
| Species Reactivity | Human,Mouse,Monkey |
| Immunogen | Purified recombinant fragment of human c-Jun expressed in E. Coli. |
| Formulation | Purified antibody in PBS with 0.05% sodium azide. |
Application |
|
|---|---|
| WB | 1/500 - 1/2000 |
| IHC | 1/200 - 1/1000 |
| IF | 1/200 - 1/1000 |
| FCM | 1/200 - 1/400 |
| ELISA | 1/10000 |
Product Image
-
Red: Control Antigen (100ng); Purple: Antigen (10ng); Green: Antigen (50ng); Blue: Antigen (100ng);

-
Western blot analysis using c-Jun mouse mAb against NIH/3T3 (1) and Cos7 (2) cell lysate.

-
Immunofluorescence analysis of PC-2 cells using c-Jun mouse mAb (green). Red: Actin filaments have been labeled with Alexa Fluor-555 phalloidin.

-
Flow cytometric analysis of HepG2 cells using c-Jun mouse mAb (blue) and negative control (red).

-
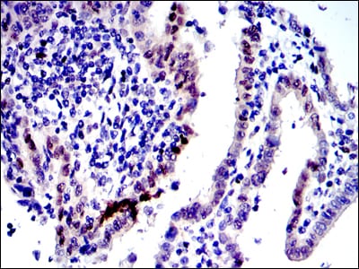
Immunohistochemical analysis of paraffin-embedded human intima canncer tissues using c-Jun mouse mAb with DAB staining.

-
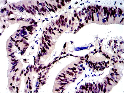
Immunohistochemical analysis of paraffin-embedded human rectum cancer tissues using c-Jun mouse mAb with DAB staining.







鄂公网安备42018502007531号

