产品中心
PRODUCT CENTER
首页 » 产品中心 » 抗体 »
  • 分类: 科研抗体
    货号: P23535
    别名: LAT; Linker for activation of T-cells family member 1; 36 kDa phospho-tyrosine adapter protein; pp36; p36-38
    应用: WB
    反应种属: Human,Mouse,Rat
  • 分类: 科研抗体
    货号: P23546
    别名: EZR; VIL2; Ezrin; Cytovillin; Villin-2; p81
    应用: WB
    反应种属: Human,Mouse,Rat
  • 分类: 科研抗体
    货号: P23529
    别名: NFATC1; NFAT2; NFATC; Nuclear factor of activated T-cells; cytoplasmic 1; NF-ATc1; NFATc1; NFAT transcription complex cytosolic component; NF-ATc; NFATc
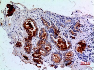
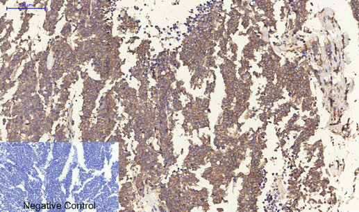
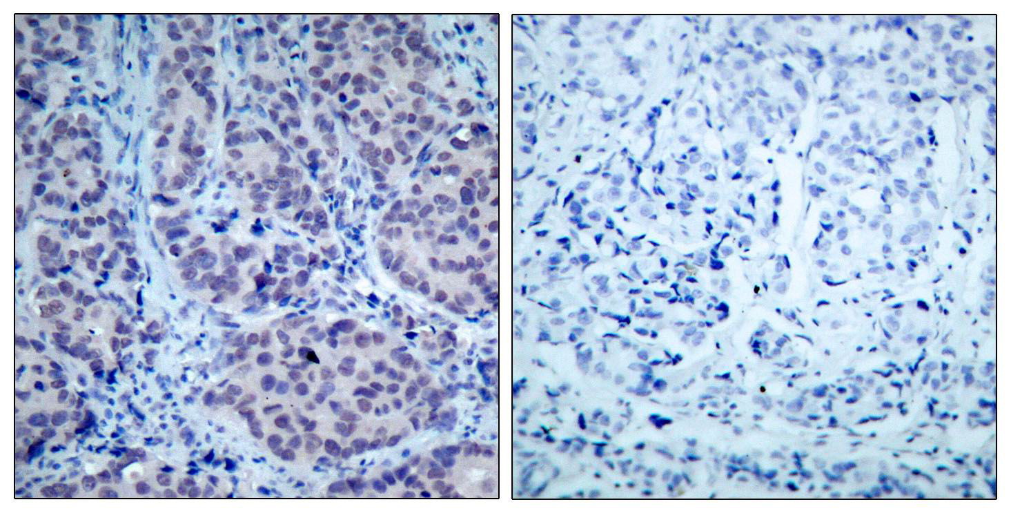
    应用: WB,IHC
    反应种属: Human,Mouse
  • 分类: 科研抗体
    货号: P23534
    别名: MYOD1; BHLHC1; MYF3; MYOD; Myoblast determination protein 1; Class C basic helix-loop-helix protein 1; bHLHc1; Myogenic factor 3; Myf-3
    应用: WB
    反应种属: Human,Mouse,Rat,Chicken
  • 分类: 科研抗体
    货号: P23545
    别名: SRC; SRC1; Proto-oncogene tyrosine-protein kinase Src; Proto-oncogene c-Src; pp60c-src; p60-Src
    应用: WB,IHC
    反应种属: Human,Mouse,Rat
  • 分类: 科研抗体
    货号: P23528
    别名: NGF; NGFB; Beta-nerve growth factor; Beta-NGF
    应用: WB,IHC
    反应种属: Human,Mouse,Rat
  • 分类: 科研抗体
    货号: P23561
    别名: KDR; FLK1; VEGFR2; Vascular endothelial growth factor receptor 2; VEGFR-2; Fetal liver kinase 1; FLK-1; Kinase insert domain receptor; KDR; Protein-tyrosine kinase receptor flk-1; CD antigen CD309
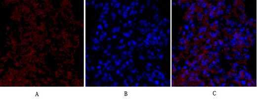
    应用: WB,IHC,IF
    反应种属: Human,Mouse
  • 分类: 科研抗体
    货号: P23544
    别名: HDAC2; Histone deacetylase 2; HD2
    应用: WB,IHC,IF
    反应种属: Human,Mouse,Rat
  • 分类: 科研抗体
    货号: P23527
    别名: ANGPT1; KIAA0003; Angiopoietin-1; ANG-1
    应用: WB,IHC
    反应种属: Human,Rat
  • 分类: 科研抗体
    货号: P23560
    别名: ESR2; ESTRB; NR3A2; Estrogen receptor beta; ER-beta; Nuclear receptor subfamily 3 group A member 2
    应用: WB,IHC,IF
    反应种属: Human,Mouse,Rat
联系我们
  • 电话:17771420241 18911818852
  • 联系人:刘经理
  • 地址:湖北省武汉市东湖新技术开发区高新大道666号光谷生物城C6栋C6403、C6404
微信公众号
版权所有 © 武汉博开生物科技有限公司  备案编号:鄂ICP备2024052832号-1鄂公网安备42018502007531号
17771420241 18911818852