Rabbit Polyclonal Antibody to ER beta
货号:
P23560
别名:
ESR2; ESTRB; NR3A2; Estrogen receptor beta; ER-beta; Nuclear receptor subfamily 3 group A member 2
应用:
WB,IHC,IF
反应种属:
Human,Mouse,Rat
抗体类型:
Primary antibody
Swissprot:
Q92731
规格:
目录价
在线咨询
Description |
|---|
Nuclear hormone receptor. Binds estrogens with an affinity similar to that of ESR1, and activates expression of reporter genes containing estrogen response elements (ERE) in an estrogen-dependent manner (PubMed:20074560). |
Specification |
|
|---|---|
| Aliases | ESR2; ESTRB; NR3A2; Estrogen receptor beta; ER-beta; Nuclear receptor subfamily 3 group A member 2 |
| Entrez GeneID | 2100 |
| Swissprot | Q92731 |
| WB Predicted band size | Calculated MW: 59 kDa; Observed MW: 59 kDa |
| Host/Isotype | Rabbit IgG |
| Antibody Type | Primary antibody |
| Storage | Store at 4°C short term. Aliquot and store at -20°C long term. Avoid freeze/thaw cycles. |
| Species Reactivity | Human,Mouse,Rat |
| Immunogen | The antiserum was produced against synthesized peptide derived from human Estrogen Receptor-beta. AA range:71-120 |
| Formulation | Purified antibody in PBS with 0.05% sodium azide,0.5%BSA and 50% glycerol. |
Application |
|
|---|---|
| WB | 1/500-1/1000 |
| IHC | 1/50-1/100 |
| IF | 1/50-1/200 |
| ELISA | 1/10000 |
Product Image
-
Western blot analysis of ER beta in COLO205 lysates using ERβ antibody

-
Western blot analysis of ER beta in 3T3, VEC lysates using ERβ antibody.

-
Immunofluorescence analysis of ER beta in mouse kidney tissue using ER beta antibody(red),and DAPI (blue).

-
Immunohistochemical analysis of paraffin-embedded Human tonsils using ER beta antibody.High-pressure and temperature Sodium Citrate pH 6.0 was used for antigen retrieval.Negative control was used by secondary antibody only.

-
Immunohistochemistry analysis of paraffin-embedded rat liver tissue using ERβ antibody. High-pressure and temperature Sodium Citrate pH 6.0 was used for antigen retrieval.Negative control was used by secondary antibody only.

-
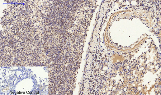
Immunohistochemistry analysis of paraffin-embedded mouse lung tissue using ERβ antibody.High-pressure and temperature Sodium Citrate pH 6.0 was used for antigen retrieval. Negative control was used by secondary antibody only.







鄂公网安备42018502007531号

