Rabbit Polyclonal Antibody to VEGF Receptor 2
货号:
P23561
别名:
KDR; FLK1; VEGFR2; Vascular endothelial growth factor receptor 2; VEGFR-2; Fetal liver kinase 1; FLK-1; Kinase insert domain receptor; KDR; Protein-tyrosine kinase receptor flk-1; CD antigen CD309
应用:
WB,IHC,IF
反应种属:
Human,Mouse
抗体类型:
Primary antibody
Swissprot:
P35968
规格:
目录价
在线咨询
Description |
|---|
VEGFR-2 is a receptor tyrosine kinase of the VEGFR family. High affinity receptor for VEGF and VEGF-C. Ligand binding induces autophosphorylation and activation. Activated receptor recruits proteins including Shc, GRB2, PI3K, Nck, SHP-1 and SHP-2. |
Specification |
|
|---|---|
| Aliases | KDR; FLK1; VEGFR2; Vascular endothelial growth factor receptor 2; VEGFR-2; Fetal liver kinase 1; FLK-1; Kinase insert domain receptor; KDR; Protein-tyrosine kinase receptor flk-1; CD antigen CD309 |
| Entrez GeneID | 3791 |
| Swissprot | P35968 |
| WB Predicted band size | Calculated MW: 152 kDa; Observed MW: 210,230 kDa |
| Host/Isotype | Rabbit IgG |
| Antibody Type | Primary antibody |
| Storage | Store at 4°C short term. Aliquot and store at -20°C long term. Avoid freeze/thaw cycles. |
| Species Reactivity | Human,Mouse |
| Immunogen | The antiserum was produced against synthesized peptide derived from human VEGFR2. AA range:917-966 |
| Formulation | Purified antibody in PBS with 0.05% sodium azide,0.5%BSA and 50% glycerol. |
Application |
|
|---|---|
| WB | 1/500-1/1000 |
| IHC | 1/50-1/100 |
| IF | 1/50-1/200 |
| ELISA | 1/10000 |
Product Image
-
Western blot analysis of VEGF Receptor 2 in Hela lysates using VEGF Receptor 2 antibody.

-
Immunofluorescence analysis of VEGF Receptor 2 in rat lung using Flk1 antibody(red),and DAPI (blue).

-
Immunofluorescence analysis of VEGF Receptor 2 in mouse kidney using VEGF Receptor 2 antibody(red) ,and DAPI (blue).

-
Immunohistochemistry analysis of paraffin-embedded rat spinalcord using Flk1 antibody.High-pressure and temperature Sodium Citrate pH 6.0 was used for antigen retrieval. Sample with blocking peptide on the right.

-
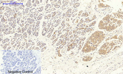
Immunohistochemistry analysis of paraffin-embedded Human stomach cancer using Flk1 antibody. High-pressure and temperature Sodium Citrate pH 6.0 was used for antigen retrieval.Negative control was used by secondary antibody only.






鄂公网安备42018502007531号

