-
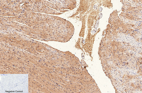
分类: 科研抗体货号: P20414别名: MAPK14; CSBP; CSBP1; CSBP2; CSPB1; MXI2; SAPK2A; Mitogen-activated protein kinase 14; MAP kinase 14; MAPK 14; Cytokine suppressive anti-inflammatory drug-binding protein; CSAID-binding protein; CSBP; MAP kinase MXI2; MAX-interacting protein应用: IHC反应种属: Human,Mouse,Rat
-
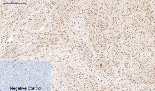
分类: 科研抗体货号: P20388别名: actinin 1 smooth muscle; actinin alpha 1; ACTN 1; FLJ40884应用: IHC反应种属: Human,Mouse,Rat
-
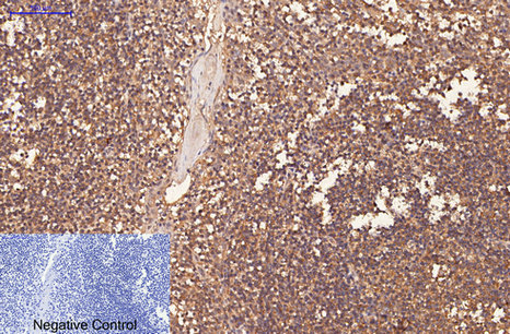
分类: 科研抗体货号: P20382别名: CD1A; T-cell surface glycoprotein CD1a; T-cell surface antigen T6/Leu-6; hTa1 thymocyte antigen; CD antigen CD1a应用: IHC反应种属: Human,Mouse,Rat
-
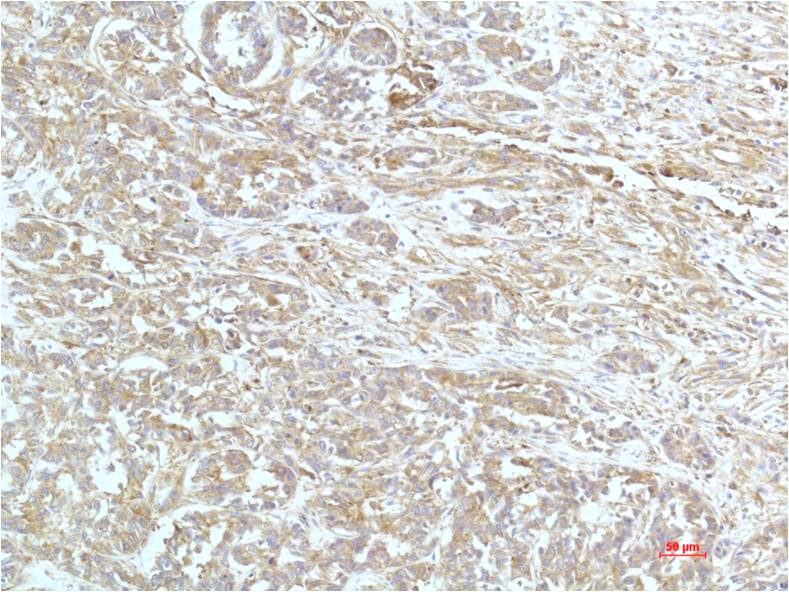
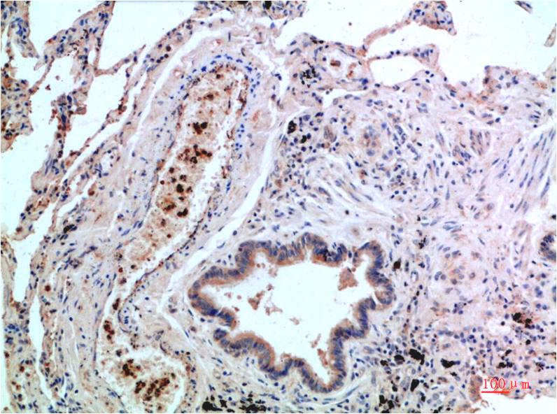
分类: 科研抗体货号: P20410别名: PDGFRA; PDGFR2; RHEPDGFRA; Platelet-derived growth factor receptor alpha; PDGF-R-alpha; PDGFR-alpha; Alpha platelet-derived growth factor receptor; Alpha-type platelet-derived growth factor receptor; CD140 antigen-like family member A; CD140a antigen; Pla应用: IHC反应种属: Human,Mouse,Rat
-
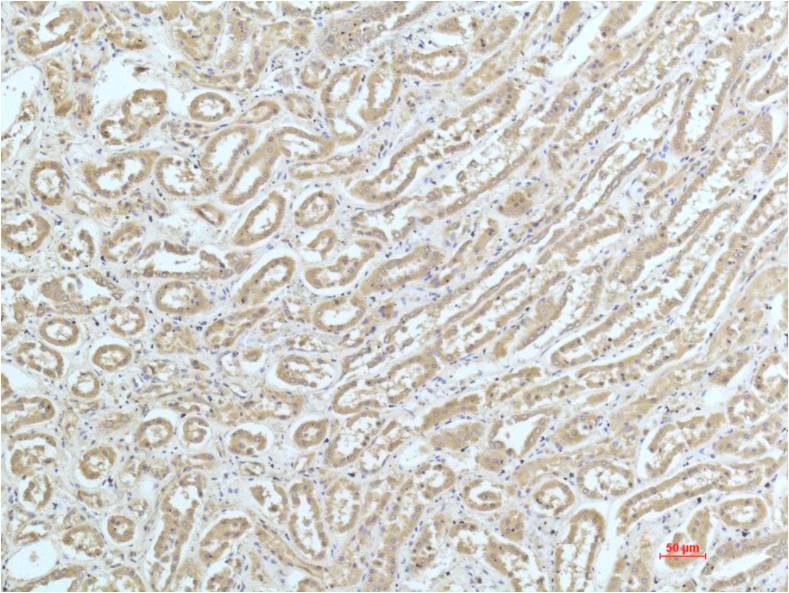
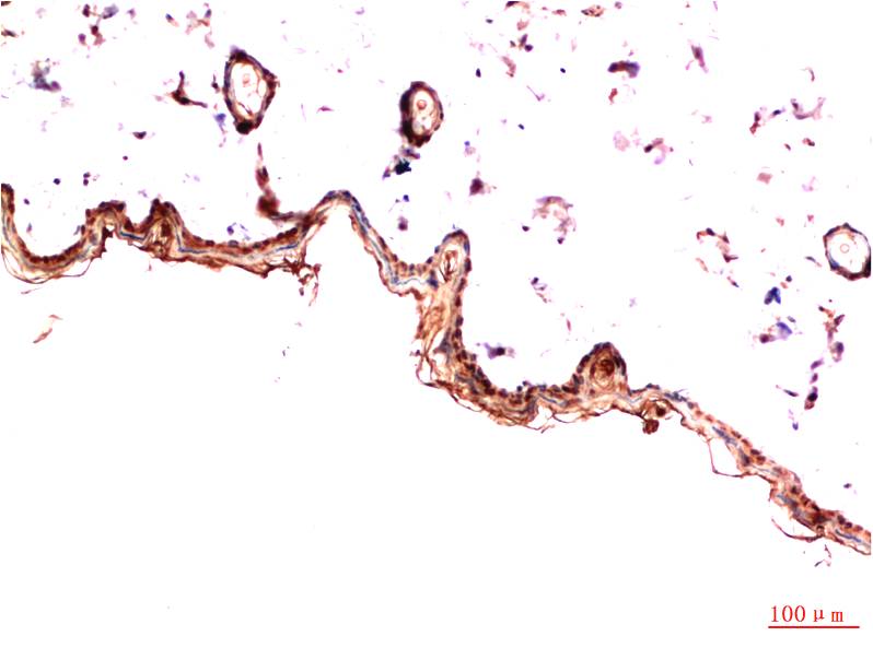
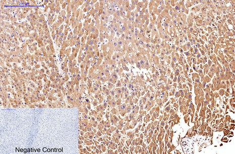
分类: 科研抗体货号: P20386别名: MME; EPN; Neprilysin; Atriopeptidase; Common acute lymphocytic leukemia antigen; CALLA; Enkephalinase; Neutral endopeptidase 24.11; NEP; Neutral endopeptidase; Skin fibroblast elastase; SFE; CD10应用: IHC反应种属: Human,Mouse,Rat
-
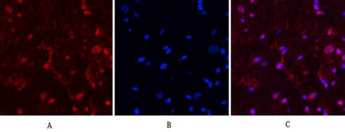
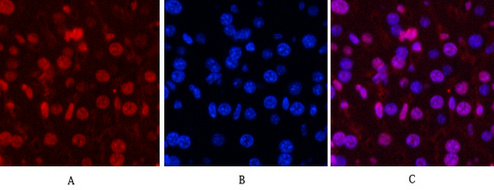
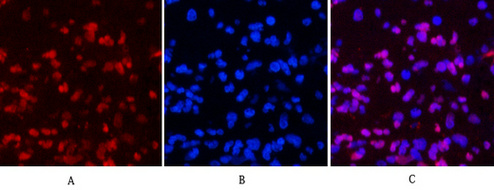
分类: 科研抗体货号: P20381别名: PGR; NR3C3; Progesterone receptor; PR; Nuclear receptor subfamily 3 group C member 3应用: IHC,IF反应种属: Human,Mouse,Rat
-
分类: 科研抗体货号: P20409别名: MLKL应用: IHC反应种属: Human
-
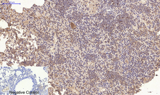
分类: 科研抗体货号: P20431别名: IGFR3; CD16; CD16a; IMD20应用: WB,IHC反应种属: Human
-
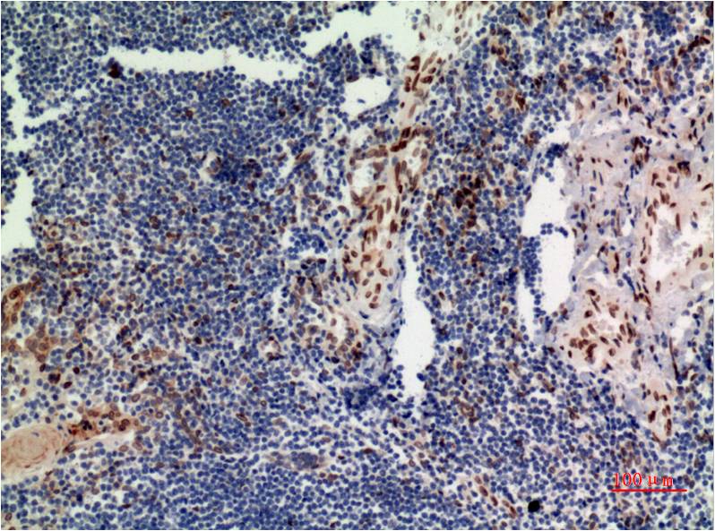
分类: 科研抗体货号: P20380别名: IL2RA; Interleukin-2 receptor subunit alpha; IL-2 receptor subunit alpha; IL-2-RA; IL-2R subunit alpha; IL2-RA; TAC antigen; p55; CD25应用: IHC反应种属: Human
-
分类: 科研抗体货号: P20408别名: MAPK3应用: IHC反应种属: Human,Mouse,Rat
鄂公网安备42018502007531号

