Mouse Monoclonal Antibody to MLKL
货号:
P20409
别名:
MLKL
应用:
IHC
反应种属:
Human
抗体类型:
Primary antibody
Swissprot:
Q8NB16
规格:
目录价
在线咨询
Description |
|---|
Pseudokinase that plays a key role in TNF-induced necroptosis, a programmed cell death process. Activated following phosphorylation by RIPK3, leading to homotrimerization, localization to the plasma membrane and execution of programmed necrosis characterized by calcium influx and plasma membrane damage. Does not have protein kinase activity. |
Specification |
|
|---|---|
| Aliases | MLKL |
| Entrez GeneID | 197259 |
| Swissprot | Q8NB16 |
| clone | 6A2 |
| Host/Isotype | Mouse IgG1 |
| Antibody Type | Primary antibody |
| Storage | Store at 4°C short term. Aliquot and store at -20°C long term. Avoid freeze/thaw cycles. |
| Species Reactivity | Human |
| Immunogen | Synthetic peptide conjugated to KLH. |
| Formulation | Purified antibody in PBS with 0.05% sodium azide,0.5%BSA and 50% glycerol. |
Application |
|
|---|---|
| IHC | 1/50-1/100 |
Product Image
-
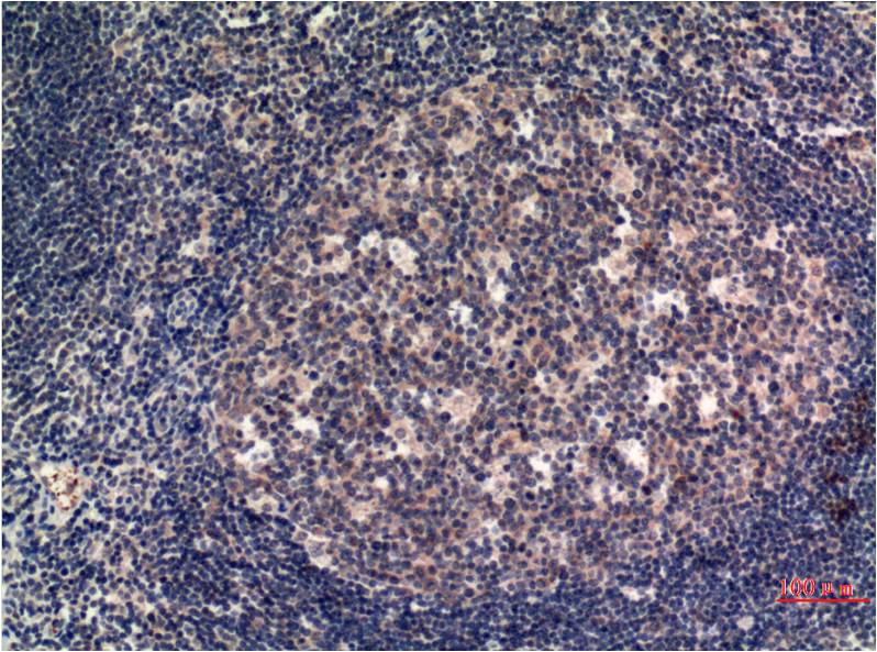
Immunohistochemistry analysis of paraffin-embedded Human Tonsil Tissue using MLKL antibody.High-pressure and temperature Sodium Citrate pH 6.0 was used for antigen retrieval.

-
Immunohistochemical analysis of paraffin-embedded Human tonsils using MLKL antibody.High-pressure and temperature Sodium Citrate pH 6.0 was used for antigen retrieval.



鄂公网安备42018502007531号

