Mouse Monoclonal Antibody to Progesterone Receptor
货号:
P20381
别名:
PGR; NR3C3; Progesterone receptor; PR; Nuclear receptor subfamily 3 group C member 3
应用:
IHC,IF
反应种属:
Human,Mouse,Rat
抗体类型:
Primary antibody
Swissprot:
P06401
规格:
目录价
在线咨询
Description |
|---|
Progesterone plays a central role in the reproductive events associated with the establishment and maintenance of pregnancy. Progesterone receptor, a member of the steroid receptor superfamily, mediates the physiologic effects of progesterone. |
Specification |
|
|---|---|
| Aliases | PGR; NR3C3; Progesterone receptor; PR; Nuclear receptor subfamily 3 group C member 3 |
| Entrez GeneID | 5241 |
| Swissprot | P06401 |
| clone | 9F4 |
| Host/Isotype | Mouse IgG1 |
| Antibody Type | Primary antibody |
| Storage | Store at 4°C short term. Aliquot and store at -20°C long term. Avoid freeze/thaw cycles. |
| Species Reactivity | Human,Mouse,Rat |
| Immunogen | Synthetic Peptide of PR |
| Formulation | Purified antibody in PBS with 0.05% sodium azide,0.5%BSA and 50% glycerol. |
Application |
|
|---|---|
| IHC | 1/50-1/100 |
| IF | 1/50-1/200 |
Product Image
-
Immunofluorescence analysis of Progesterone Receptor in Human appendix tissue using Progesterone Receptor antibody(Z15)(red),and DAPI (blue).

-
Immunofluorescence analysis of Progesterone Receptor in mouse liver using PR antibody(Z15)(red),and DAPI (blue).

-
Immunofluorescence analysis of Progesterone Receptor in rat heart using Progesterone Receptor antibody(red),and DAPI (blue).

-
Immunohistochemistry analysis of paraffin-embedded Human uterus tissue using Progesterone Receptor antibody.High-pressure and temperature Sodium Citrate pH 6.0 was used for antigen retrieval.Negative control was used by secondary antibody only.

-
Immunohistochemical analysis of paraffin-embedded Human tonsils using Progesterone Receptor antibody.High-pressure and temperature Sodium Citrate pH 6.0 was used for antigen retrieval.Negative control was used by secondary antibody only.

-
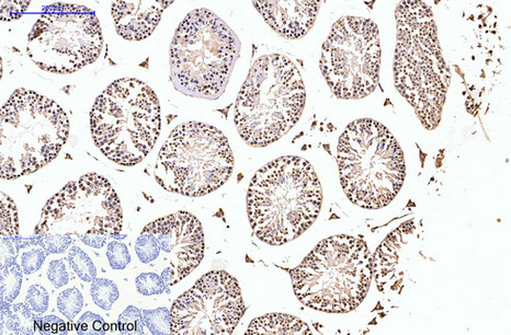
Immunohistochemistry analysis of paraffin-embedded mouse testis tissue using PR antibody. High-pressure and temperature Sodium Citrate pH 6.0 was used for antigen retrieval. Negative control was used by secondary antibody only.







鄂公网安备42018502007531号

