-
分类: 科研抗体货号: P20401别名: FLJ22589; TUBE1; tubulin epsilon 1; ε tubulin应用: IHC反应种属: Human,Mouse,Rat
-
分类: 科研抗体货号: P20375别名: fast skeletal muscle; MYH3; HEMHC; Myosin-1; Myosin heavy chain 2x; MyHC-2x; Myosin heavy chain IIx/d; MyHC-IIx/d; Myosin heavy chain; skeletal muscle; adult 1应用: IF反应种属: Human,Mouse,Rat,Fruitfly,Nematode
-
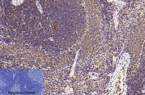
分类: 科研抗体货号: P20385别名: CD5; LEU1; T-cell surface glycoprotein CD5; Lymphocyte antigen T1/Leu-1; CD antigen CD5应用: IHC反应种属: Human,Mouse,Rat
-
分类: 科研抗体货号: P20400别名: MAP1LC3B应用: IHC反应种属: Human
-
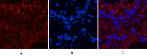
分类: 科研抗体货号: P20374别名: FCER2; CD23A; CLEC4J; FCE2; IGEBF; Low affinity immunoglobulin epsilon Fc receptor; BLAST-2; C-type lectin domain family 4 member J; Fc-epsilon-RII; Immunoglobulin E-binding factor; Lymphocyte IgE receptor; CD23应用: IHC,IF反应种属: Human,Mouse,Rat
-
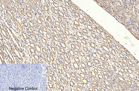
分类: 科研抗体货号: P20384别名: CD4; T-cell surface glycoprotein CD4; T-cell surface antigen T4/Leu-3; CD antigen CD4应用: IHC反应种属: Human,Mouse,Rat
-
分类: 科研抗体货号: P20399别名: TUBG1; TUBG; Tubulin gamma-1 chain; Gamma-1-tubulin; Gamma-tubulin complex component 1; GCP-1应用: IHC反应种属: Human
-
分类: 科研抗体货号: P20369别名: TXN; ADF; ATL-derived factor; SASP; Thioredoxin; TRX1; Thioredoxin delta 3; TRX; TXN delta 3; TRDX应用: WB,IP,IHC,IF反应种属: Human
-
分类: 科研抗体货号: P20390别名: IL-8 (3A4); 9E3; CXCL8; CEF-4; GCP-1; Granulocyte chemotactic protein 1应用: IHC反应种属: Human
-
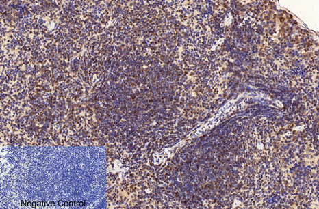
分类: 科研抗体货号: P20383别名: CD2; SRBC; T-cell surface antigen CD2; Erythrocyte receptor; LFA-2; LFA-3 receptor; Rosette receptor; T-cell surface antigen T11/Leu-5; CD2应用: IHC反应种属: Human,Mouse,Rat
鄂公网安备42018502007531号

