Mouse Monoclonal Antibody to CD4
货号:
P20384
别名:
CD4; T-cell surface glycoprotein CD4; T-cell surface antigen T4/Leu-3; CD antigen CD4
应用:
IHC
反应种属:
Human,Mouse,Rat
抗体类型:
Primary antibody
Swissprot:
P01730
规格:
目录价
在线咨询
Description |
|---|
Cluster of Differentiation 4 (CD4) is a glycoprotein composed of an amino-terminal extracellular domain (four domains: D1-D4 with Ig-like structures), a transmembrane part and a short cytoplasmic tail. CD4 is expressed on the surface of T helper cells, regulatory T cells, monocytes, macrophages and dendritic cells, and plays an important role in the development and activation of T cells. On T cells, CD4 is the co-receptor for the T cell receptor (TCR), and these two distinct structures recognize the Antigen–Major Histocompatibility Complex (MHC). |
Specification |
|
|---|---|
| Aliases | CD4; T-cell surface glycoprotein CD4; T-cell surface antigen T4/Leu-3; CD antigen CD4 |
| Entrez GeneID | 920 |
| Swissprot | P01730 |
| clone | 6B10 |
| Host/Isotype | Mouse IgG1 |
| Antibody Type | Primary antibody |
| Storage | Store at 4°C short term. Aliquot and store at -20°C long term. Avoid freeze/thaw cycles. |
| Species Reactivity | Human,Mouse,Rat |
| Immunogen | Synthetic peptide conjugated to KLH. |
| Formulation | Purified antibody in PBS with 0.05% sodium azide,0.5%BSA and 50% glycerol. |
Application |
|
|---|---|
| IHC | 1/50-1/100 |
Product Image
-
Immunofluorescence analysis of CD4 in mouse colon tissue using CD4 antibody(11A1)(red),and DAPI (blue).

-
Immunofluorescence analysis of CD4 in rat lung using CD4 antibody(11A1)(red),and DAPI (blue).

-
Immunohistochemistry analysis of paraffin-embedded Human stomach tissue using CD4 antibody.High-pressure and temperature Sodium Citrate pH 6.0 was used for antigen retrieval.Negative control was used by secondary antibody only.

-
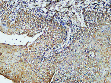
Immunohistochemical analysis of paraffin-embedded Human tonsils using CD4 antibody.High-pressure and temperature Sodium Citrate pH 6.0 was used for antigen retrieval.Negative control was used by secondary antibody only.

-
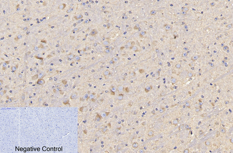
Immunohistochemistry analysis of paraffin-embedded mouse brain tissue using CD4 antibody. High-pressure and temperature Sodium Citrate pH 6.0 was used for antigen retrieval. Negative control was used by secondary antibody only.

-
Immunohistochemistry analysis of paraffin-embedded Human Amygdala using CD4 antibody.High-pressure and temperature Tris-EDTA pH 8.0 was used for antigen retrieval.







鄂公网安备42018502007531号

