Mouse Monoclonal Antibody to CD23
货号:
P20374
别名:
FCER2; CD23A; CLEC4J; FCE2; IGEBF; Low affinity immunoglobulin epsilon Fc receptor; BLAST-2; C-type lectin domain family 4 member J; Fc-epsilon-RII; Immunoglobulin E-binding factor; Lymphocyte IgE receptor; CD23
应用:
IHC,IF
反应种属:
Human,Mouse,Rat
抗体类型:
Primary antibody
Swissprot:
P06734
规格:
目录价
在线咨询
Description |
|---|
This receptor has essential roles in the regulation of IgE production and in the differentiation of B-cells (it is a B-cell-specific antigen). |
Specification |
|
|---|---|
| Aliases | FCER2; CD23A; CLEC4J; FCE2; IGEBF; Low affinity immunoglobulin epsilon Fc receptor; BLAST-2; C-type lectin domain family 4 member J; Fc-epsilon-RII; Immunoglobulin E-binding factor; Lymphocyte IgE receptor; CD23 |
| Entrez GeneID | 2208 |
| Swissprot | P06734 |
| clone | 10G2 |
| Host/Isotype | Mouse IgG1 |
| Antibody Type | Primary antibody |
| Storage | Store at 4°C short term. Aliquot and store at -20°C long term. Avoid freeze/thaw cycles. |
| Species Reactivity | Human,Mouse,Rat |
| Immunogen | Synthetic Peptide of CD23 |
| Formulation | Purified antibody in PBS with 0.05% sodium azide,0.5%BSA and 50% glycerol. |
Application |
|
|---|---|
| IHC | 1/50-1/100 |
| IF | 1/50-1/200 |
Product Image
-
Immunofluorescence analysis of CD23 in Human stomach using CD23 antibody(red),and DAPI (blue).

-
Immunofluorescence analysis of CD23 in rat lung tissue using CD23 antibody(1E9)(red),and DAPI (blue).

-
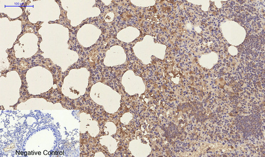
Immunohistochemistry analysis of paraffin-embedded Human lung tissue using CD23 antibody. High-pressure and temperature Sodium Citrate pH 6.0 was used for antigen retrieval. Negative control was used by secondary antibody only.

-
Immunohistochemistry analysis of paraffin-embedded rat kidney tissue using CD23 antibody.High-pressure and temperature Sodium Citrate pH 6.0 was used for antigen retrieval.Negative control was used by secondary antibody only.

-
Immunohistochemistry analysis of paraffin-embedded mouse lung tissue using CD23 antibody.High-pressure and temperature Sodium Citrate pH 6.0 was used for antigen retrieval. Negative control was used by secondary antibody only.

-
Immunohistochemistry analysis of paraffin-embedded Human tonsil tissue using CD23 antibody.High-pressure and temperature Sodium Citrate pH 6.0 was used for antigen retrieval.







鄂公网安备42018502007531号

