-
分类: 科研抗体货号: 32053别名: UVO; CDHE; ECAD; LCAM; Arc-1; BCDS1; CD324;E-cadherin;E cadherin应用: WB,IHC,FCM反应种属: Human
-
分类: 科研抗体货号: 32035别名: FCGR2B;CD32; FCG2; CD32B; FCGR2; IGFR2; FCGR2C; FcRII-c应用: FCM反应种属: Human
-
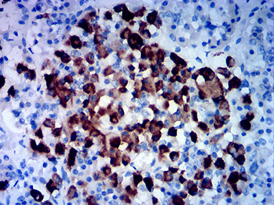
分类: 科研抗体货号: 32020别名: POMC; LPH; MSH; NPP; POC; CLIP; OBAIRH应用: IHC,FCM反应种属: Human
-
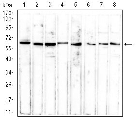
分类: 科研抗体货号: 32052别名: IGFR; CD221; IGFIR; JTK13应用: WB,FCM反应种属: Human
-
分类: 科研抗体货号: 32034别名: R4; T6; CD1; FCB6; HTA1应用: WB,IHC,IF,FCM反应种属: Human, Mouse, Monkey
-
分类: 科研抗体货号: 32019别名: K9; CK-9; EPPK应用: WB,FCM反应种属: Human, Mouse, Rat
-
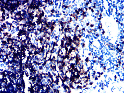
分类: 科研抗体货号: 32051别名: HLALS应用: IHC,IF,FCM反应种属: Human
-
分类: 科研抗体货号: 32033别名: R4; T6; CD1; FCB6; HTA1应用: IHC,FCM反应种属: Human
-
分类: 科研抗体货号: 32018别名: UV20; COFS4; RAD10应用: WB,IHC,IF,FCM反应种属: Human, Mouse
-
分类: 科研抗体货号: 32050别名: MRX; MXR; ABCP; BCRP; BMDP; MXR1; ABC15; BCRP1; ABCG2; GOUT1; MXR-1; CDw338; UAQTL1; EST157481应用: WB,IHC,IF,FCM反应种属: Human, Mouse
鄂公网安备42018502007531号

