Mouse Monoclonal Antibody to MR1
货号:
32051
别名:
HLALS
应用:
IHC,IF,FCM
反应种属:
Human
抗体类型:
Primary antibody
Swissprot:
Q95460
规格:
目录价
在线咨询
Description |
|---|
MAIT (mucosal-associated invariant T-cells) lymphocytes represent a small population of T-cells primarily found in the gut. The protein encoded by this gene is an antigen-presenting molecule that presents metabolites of microbial vitamin B to MAITs. This presentation may activate the MAITs to regulate the amounts of specific types of bacteria in the gut. Several transcript variants encoding different isoforms have been found for this gene, and a pseudogene of it has been detected about 36 kbp upstream on the same chromosome. |
References |
|---|
| 1,J Immunol. 2019 Dec 1;203(11):2917-2927. 2,Science. 2019 Dec 20;366(6472):1522-1527. |
Specification |
|
|---|---|
| Aliases | HLALS |
| Entrez GeneID | 3140 |
| Swissprot | Q95460 |
| clone | 6A5B2 |
| WB Predicted band size | 39.4kDa |
| Host/Isotype | Mouse IgG2a |
| Antibody Type | Primary antibody |
| Storage | Store at 4°C short term. Aliquot and store at -20°C long term. Avoid freeze/thaw cycles. |
| Species Reactivity | Human |
| Immunogen | Purified recombinant fragment of human MR1 (AA: extra(23-302)) expressed in E. Coli. |
| Formulation | Purified antibody in PBS with 0.05% sodium azide |
Application |
|
|---|---|
| IHC | 1/200 - 1/1000 |
| IF | 1/200 - 1/1000 |
| FCM | 1/200 - 1/400 |
| ELISA | 1/10000 |
Product Image
-
Black line: Control Antigen (100 ng);Purple line: Antigen (10ng); Blue line: Antigen (50 ng); Red line:Antigen (100 ng)

-
Immunofluorescence analysis of Hela cells using MR1 mouse mAb (green). Blue: DRAQ5 fluorescent DNA dye. Red: Actin filaments have been labeled with Alexa Fluor- 555 phalloidin. Secondary antibody from Fisher (Cat#: 35503)

-
Flow cytometric analysis of Jurkat cells using MR1 mouse mAb (green) and negative control (red).

-
Flow cytometric analysis of THP-1 cells using MR1 mouse mAb (green) and negative control (red).

-
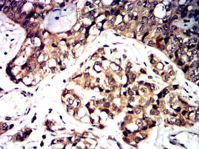
Immunohistochemical analysis of paraffin-embedded human bladder cancer tissues using MR1 mouse mAb with DAB staining.






鄂公网安备42018502007531号

