Mouse Monoclonal Antibody to CD1A
Description |
|---|
This gene encodes a member of the CD1 family of transmembrane glycoproteins, which are structurally related to the major histocompatibility complex (MHC) proteins and form heterodimers with beta-2-microglobulin. The CD1 proteins mediate the presentation of primarily lipid and glycolipid antigens of self or microbial origin to T cells. The human genome contains five CD1 family genes organized in a cluster on chromosome 1. The CD1 family members are thought to differ in their cellular localization and specificity for particular lipid ligands. The protein encoded by this gene localizes to the plasma membrane and to recycling vesicles of the early endocytic system. Alternative splicing results in multiple transcript variants. [provided by RefSeq, Mar 2016] |
References |
|---|
| 1,Mol Immunol. 2018 Nov;103:200-208. 2,Sci Immunol. 2017 Dec 22;2(18):eaan5918. |
Specification |
|
|---|---|
| Aliases | R4; T6; CD1; FCB6; HTA1 |
| Entrez GeneID | 909 |
| Swissprot | P06126 |
| clone | 5B9C3 |
| WB Predicted band size | 37kDa |
| Host/Isotype | Mouse IgG2a |
| Antibody Type | Primary antibody |
| Storage | Store at 4°C short term. Aliquot and store at -20°C long term. Avoid freeze/thaw cycles. |
| Species Reactivity | Human, Mouse, Monkey |
| Immunogen | Purified recombinant fragment of human CD1A (AA: 17-116) expressed in E. Coli. |
| Formulation | Purified antibody in PBS with 0.05% sodium azide |
Application |
|
|---|---|
| WB | 1/500 - 1/2000 |
| IHC | 1/200 - 1/1000 |
| IF | 1/200 - 1/1000 |
| FCM | 1/200 - 1/400 |
| ELISA | 1/10000 |
Product Image
-
Black line: Control Antigen (100 ng);Purple line: Antigen (10ng); Blue line: Antigen (50 ng); Red line:Antigen (100 ng)

-
Western blot analysis using CD1A mouse mAb against Hela (1), HepG2 (2), HEK293 (3),MOLT4 (4),K562 (5),HEK293-6e (6),Cos-7 (7),and NIH/3T3 (8) cell lysate.

-
Immunofluorescence analysis of Hela cells using CD1A mouse mAb (green). Blue: DRAQ5 fluorescent DNA dye. Red: Actin filaments have been labeled with Alexa Fluor- 555 phalloidin. Secondary antibody from Fisher (Cat#: 35503)

-
Flow cytometric analysis of MOLT4 cells using CD1A mouse mAb (green) and negative control (red).

-
Flow cytometric analysis of HL-60 cells using CD1A mouse mAb (green) and negative control (red).

-
Flow cytometric analysis of Jukrat cells using CD1A mouse mAb (green) and negative control (red).

-
Flow cytometric analysis of K562 cells using CD1A mouse mAb (green) and negative control (red).

-
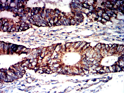
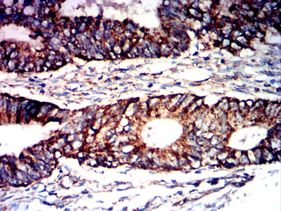
Immunohistochemical analysis of paraffin-embedded human bladder cancer tissues using CD1A mouse mAb with DAB staining.

-
Immunohistochemical analysis of paraffin-embedded human rectal cancer tissues using CD1A mouse mAb with DAB staining.










鄂公网安备42018502007531号

