-
分类: 科研抗体货号: 31267别名:应用: WB反应种属: Human,Rat
-
分类: 科研抗体货号: 31269别名: EFNL3; nAChRB2应用: FCM反应种属: Human
-
分类: 科研抗体货号: 31283别名: BCLW; BCL-W; PPP1R51; BCL2-L-2应用: WB,IHC,IF,FCM反应种属: Human
-
分类: 科研抗体货号: 31266别名: KA1; EAA1; GRIK; GluK4应用: IHC,IF,FCM反应种属: Human
-
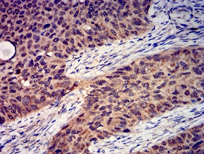
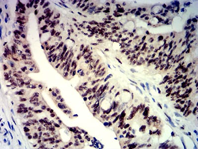
分类: 科研抗体货号: 31282别名: FWD1; FBW1A; FBXW1; bTrCP; FBXW1A; bTrCP1; betaTrCP; BETA-TRCP应用: WB,IHC反应种属: Human
-
分类: 科研抗体货号: 31265别名: KA1; EAA1; GRIK; GluK4应用: IHC,IF,FCM反应种属: Human
-
分类: 科研抗体货号: 31280别名: APC1; MCPR; TSG24应用: IF,FCM反应种属: Human
-
分类: 科研抗体货号: 31264别名: EAA5; GLR7; GLUR7; GluK3; GluR7a应用: IF反应种属: Human
-
分类: 科研抗体货号: 31279别名: LKS; EPND; FESD; NR2A; GluN2A; NMDAR2A应用: FCM反应种属: Human
-
分类: 科研抗体货号: 31261别名: ALL; CML; PHL; BCR1; D22S11; D22S662应用: WB,FCM反应种属: Human
鄂公网安备42018502007531号

