Mouse Monoclonal Antibody to BCL2L2
货号:
31283
别名:
BCLW; BCL-W; PPP1R51; BCL2-L-2
应用:
WB,IHC,IF,FCM
反应种属:
Human
抗体类型:
Primary antibody
Swissprot:
Q92843
规格:
目录价
在线咨询
Description |
|---|
This gene encodes a member of the BCL-2 protein family. The proteins of this family form hetero- or homodimers and act as anti- and pro-apoptotic regulators. Expression of this gene in cells has been shown to contribute to reduced cell apoptosis under cytotoxic conditions. Studies of the related gene in mice indicated a role in the survival of NGF- and BDNF-dependent neurons. Mutation and knockout studies of the mouse gene demonstrated an essential role in adult spermatogenesis. Alternative splicing results in multiple transcript variants. Read-through transcription also exists between this gene and the neighboring downstream PABPN1 (poly(A) binding protein, nuclear 1) gene. |
References |
|---|
| 1.Med Sci Monit. 2016 Nov 1;22:4139-4145. 2.Food Chem Toxicol. 2010 Aug-Sep;48(8-9):2259-64. |
Specification |
|
|---|---|
| Aliases | BCLW; BCL-W; PPP1R51; BCL2-L-2 |
| Entrez GeneID | 599 |
| Swissprot | Q92843 |
| clone | 4G12E6 |
| WB Predicted band size | 20.7kDa |
| Host/Isotype | Mouse IgG2a |
| Antibody Type | Primary antibody |
| Storage | Store at 4°C short term. Aliquot and store at -20°C long term. Avoid freeze/thaw cycles. |
| Species Reactivity | Human |
| Immunogen | Purified recombinant fragment of human BCL2L2 (AA: 6-118) expressed in E. Coli. |
| Formulation | Purified antibody in PBS with 0.05% sodium azide |
Application |
|
|---|---|
| IHC | 1/200 - 1/1000 |
| IF | 1/200 - 1/1000 |
| FCM | 1/200 - 1/400 |
| ELISA | 1/10000 |
Product Image
-
Black line: Control Antigen (100 ng);Purple line: Antigen (10ng); Blue line: Antigen (50 ng); Red line:Antigen (100 ng)

-
Western blot analysis using BCL2L2 mouse mAb against HCT116 (1), LOVO (2), SW480 (3), and HL-60 (4) cell lysate.

-
Immunofluorescence analysis of Hela cells using BCL2L2 mouse mAb (green). Blue: DRAQ5 fluorescent DNA dye. Red: Actin filaments have been labeled with Alexa Fluor- 555 phalloidin. Secondary antibody from Fisher (Cat#: 35503)

-
Flow cytometric analysis of Hela cells using BCL2L2 mouse mAb (green) and negative control (red).

-
Flow cytometric analysis of K562 cells using BCL2L2 mouse mAb (green) and negative control (red).

-
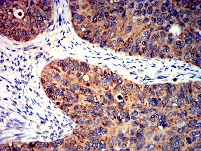
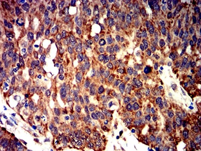
Immunohistochemical analysis of paraffin-embedded human cervical cancer tissues using BCL2L2 mouse mAb with DAB staining.

-
Immunohistochemical analysis of paraffin-embedded human ovarian cancer tissues using BCL2L2 mouse mAb with DAB staining.








鄂公网安备42018502007531号

